产品中心

CD26 rabbit pAb
一键复制产品信息
ES8387
规格: 价格:
50µL ¥1280.00
100µL ¥1980.00

Overview 文献(4)

Product name: CD26 rabbit pAb
Reactivity: Human;Rat;Mouse;
Alternative Names: DPP4; ADCP2; CD26; Dipeptidyl peptidase 4; ADABP; Adenosine deaminase complexing protein 2; ADCP-2; Dipeptidyl peptidase IV; DPP IV; T-cell activation antigen CD26; TP103; CD26
Source: Rabbit
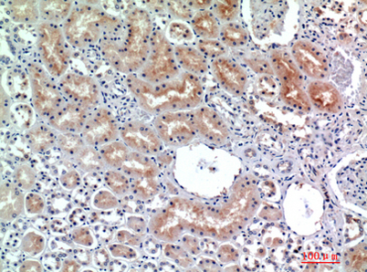
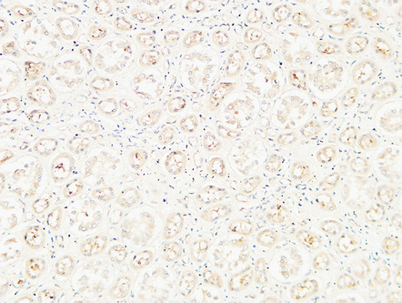
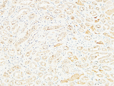
Dilutions: Western Blot: 1/500 - 1/2000. IHC-p: 1:100-1:300. ELISA: 1/10000. Not yet tested in other applications.
Immunogen: The antiserum was produced against synthesized peptide derived from the Internal region of human DPP4. AA range:350-400
Storage: -20°C/1 year
Clonality: Polyclonal
Isotype: IgG
Concentration: 1 mg/ml
Observed Band: 105kD
GeneID: 1803
Human Swiss-Prot No: P27487
Cellular localization: [Dipeptidyl peptidase 4 soluble form]: Secreted . Detected in the serum and the seminal fluid. .; Cell membrane ; Single-pass type II membrane protein. Apical cell membrane ; Single-pass type II membrane protein. Cell projection, invadopodium membrane ; Single-pass type II membrane protein. Cell projection, lamellipodium membrane ; Single-pass type II membrane protein. Cell junction . Membrane raft . Translocated to the apical membrane through the concerted action of N- and O-Glycans and its association with lipid microdomains containing cholesterol and sphingolipids (PubMed:11773049). Redistributed to membrane rafts in T-cell in an interleukin-12-dependent activation (PubMed:12676959). Its interaction with CAV1 is necessary for its translocation to membrane rafts (PubMed:17287217). Coloca
Background: The protein encoded by this gene is identical to adenosine deaminase complexing protein-2, and to the T-cell activation antigen CD26. It is an intrinsic membrane glycoprotein and a serine exopeptidase that cleaves X-proline dipeptides from the N-terminus of polypeptides. [provided by RefSeq, Jul 2008],
关闭

在线咨询

Online consultation

  • 在线咨询
  • 技术支持

关注微信公众号

微信扫一扫立即咨询

微信扫一扫立即咨询

关闭