产品中心

Mucin 1 rabbit pAb
一键复制产品信息
ES4347
规格: 价格:
50µL ¥1280.00
100µL ¥1980.00

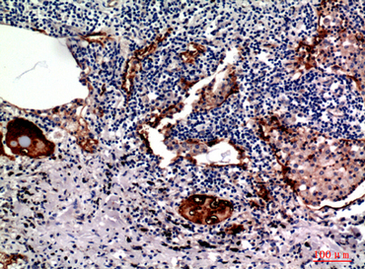
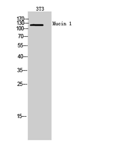
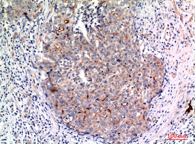
Overview 文献(1)

Product name: Mucin 1 rabbit pAb
Reactivity: Human;Mouse;Rat
Alternative Names: MUC1; PUM; Mucin-1; MUC-1; Breast carcinoma-associated antigen DF3; Carcinoma-associated mucin; Episialin; H23AG; Krebs von den Lungen-6; KL-6; PEMT; Peanut-reactive urinary mucin; PUM; Polymorphic epithelial mucin; PEM; Tumor-associated epithelial membrane antigen; EMA; Tumor-associated mucin; CD227
Source: Rabbit
Dilutions: Western Blot: 1/500 - 1/2000. IHC-p: 1:100-1:300. ELISA: 1/10000. Not yet tested in other applications.
Immunogen: The antiserum was produced against synthesized peptide derived from the Internal region of human MUC1. AA range:1021-1070
Storage: -20°C/1 year
Clonality: Polyclonal
Isotype: IgG
Concentration: 1 mg/ml
Observed Band: 122kD
GeneID: 4582
Human Swiss-Prot No: P15941
Cellular localization: Apical cell membrane ; Single-pass type I membrane protein . Exclusively located in the apical domain of the plasma membrane of highly polarized epithelial cells. After endocytosis, internalized and recycled to the cell membrane. Located to microvilli and to the tips of long filopodial protusions.; [Isoform 5]: Secreted.; [Isoform Y]: Secreted.; [Isoform 9]: Secreted.; [Mucin-1 subunit beta]: Cell membrane. Cytoplasm. Nucleus. On EGF and PDGFRB stimulation, transported to the nucleus through interaction with CTNNB1, a process which is stimulated by phosphorylation. On HRG stimulation, colocalizes with JUP/gamma-catenin at the nucleus.
Background: This gene encodes a membrane-bound protein that is a member of the mucin family. Mucins are O-glycosylated proteins that play an essential role in forming protective mucous barriers on epithelial surfaces. These proteins also play a role in intracellular signaling. This protein is expressed on the apical surface of epithelial cells that line the mucosal surfaces of many different tissues including lung, breast stomach and pancreas. This protein is proteolytically cleaved into alpha and beta subunits that form a heterodimeric complex. The N-terminal alpha subunit functions in cell-adhesion and the C-terminal beta subunit is involved in cell signaling. Overexpression, aberrant intracellular localization, and changes in glycosylation of this protein have been associated with carcinomas. This gene is known to contain a highly polymorphic variable number tandem repeats (VNTR) domain. Alternate sp
关闭

在线咨询

Online consultation

  • 在线咨询
  • 技术支持

关注微信公众号

微信扫一扫立即咨询

微信扫一扫立即咨询

关闭