产品中心

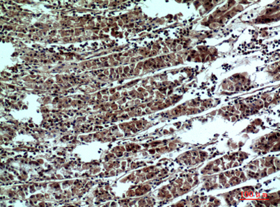
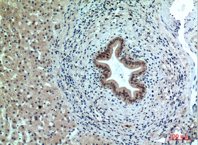
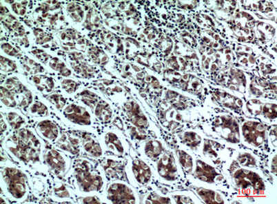
PPP1R15B rabbit pAb
一键复制产品信息
ES4301
规格: 价格:
50µL ¥1280.00
100µL ¥1980.00

Overview

Product name: PPP1R15B rabbit pAb
Reactivity: Human;Rat;Mouse;
Alternative Names: PPP1R15B; Protein phosphatase 1 regulatory subunit 15B
Source: Rabbit
Dilutions: Western Blot: 1/500 - 1/2000. IHC-p: 1:100-1:300. ELISA: 1/10000. Not yet tested in other applications.
Immunogen: The antiserum was produced against synthesized peptide derived from the Internal region of human PPP1R15B. AA range:411-460
Storage: -20°C/1 year
Clonality: Polyclonal
Isotype: IgG
Concentration: 1 mg/ml
Observed Band: 78kD
GeneID: 84919
Human Swiss-Prot No: Q5SWA1
Cellular localization: protein phosphatase type 1 complex,
Background: This gene encodes a protein phosphatase I-interacting protein that promotes the dephosphorylation of eukaryotic translation initiation factor 2A to regulate translation under conditions of cellular stress. The transcribed messenger RNA contains two upstream open reading frames (ORFs) that repress translation of the main protein coding ORF under normal conditions, while the protein coding ORF is expressed at high levels in response to stress. Continual translation of the mRNA under conditions of eukaryotic translation initiation factor 2A inactivation is thought to create a feedback loop for reactivation of the gene during recovery from stress. In addition, it has been shown that this protein plays a role in membrane traffic that is independent of translation and that it is required for exocytosis from erythroleukemia cells. Allelic variants of this gene are associated with mi
关闭

在线咨询

Online consultation

  • 在线咨询
  • 技术支持

关注微信公众号

微信扫一扫立即咨询

微信扫一扫立即咨询

关闭