产品中心

IL-3Rα rabbit pAb
一键复制产品信息
ES4300
规格: 价格:
50µL ¥1280.00
100µL ¥1980.00

Overview

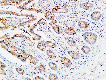
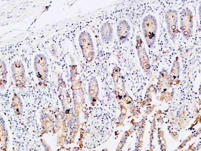
Product name: IL-3Rα rabbit pAb
Reactivity: Human;Rat;Mouse;
Alternative Names: IL3RA; IL3R; Interleukin-3 receptor subunit alpha; IL-3 receptor subunit alpha; IL-3R subunit alpha; IL-3R-alpha; IL-3RA; CD123
Source: Rabbit
Dilutions: IHC-p: 100-300.Western Blot: 1/500 - 1/2000. ELISA: 1/10000. Not yet tested in other applications.
Immunogen: The antiserum was produced against synthesized peptide derived from the Internal region of human IL3RA. AA range:241-290
Storage: -20°C/1 year
Clonality: Polyclonal
Isotype: IgG
Concentration: 1 mg/ml
Observed Band: 42kD
GeneID: 3563
Human Swiss-Prot No: P26951
Cellular localization: Membrane; Single-pass type I membrane protein.
Background: The protein encoded by this gene is an interleukin 3 specific subunit of a heterodimeric cytokine receptor. The receptor is comprised of a ligand specific alpha subunit and a signal transducing beta subunit shared by the receptors for interleukin 3 (IL3), colony stimulating factor 2 (CSF2/GM-CSF), and interleukin 5 (IL5). The binding of this protein to IL3 depends on the beta subunit. The beta subunit is activated by the ligand binding, and is required for the biological activities of IL3. This gene and the gene encoding the colony stimulating factor 2 receptor alpha chain (CSF2RA) form a cytokine receptor gene cluster in a X-Y pseudoautosomal region on chromosomes X or Y. Alternatively spliced transcript variants encoding distinct isoforms have been found. [provided by RefSeq, Jun 2012],
关闭

在线咨询

Online consultation

  • 在线咨询
  • 技术支持

关注微信公众号

微信扫一扫立即咨询

微信扫一扫立即咨询

关闭