产品中心

GABAA Rα1 rabbit pAb
一键复制产品信息
ES4299
规格: 价格:
50µL ¥1280.00
100µL ¥1980.00

Overview

Product name: GABAA Rα1 rabbit pAb
Reactivity: Human;Mouse;Rat
Alternative Names: GABRA1; Gamma-aminobutyric acid receptor subunit alpha-1; GABA(A) receptor subunit alpha-1
Source: Rabbit
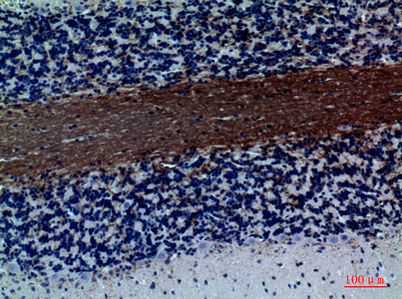
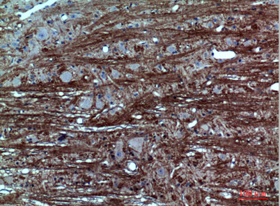
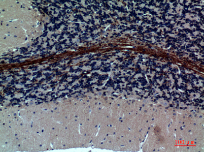
Dilutions: Western Blot: 1/500 - 1/2000. IHC-p: 1:100-1:300. ELISA: 1/10000. Not yet tested in other applications.
Immunogen: The antiserum was produced against synthesized peptide derived from the Internal region of human GABRA1. AA range:61-110
Storage: -20°C/1 year
Clonality: Polyclonal
Isotype: IgG
Concentration: 1 mg/ml
Observed Band: 50kD
GeneID: 2554
Human Swiss-Prot No: P14867
Cellular localization: Cell junction, synapse, postsynaptic cell membrane ; Multi-pass membrane protein . Cell membrane ; Multi-pass membrane protein . Cytoplasmic vesicle membrane .
Background: This gene encodes a gamma-aminobutyric acid (GABA) receptor. GABA is the major inhibitory neurotransmitter in the mammalian brain where it acts at GABA-A receptors, which are ligand-gated chloride channels. Chloride conductance of these channels can be modulated by agents such as benzodiazepines that bind to the GABA-A receptor. GABA-A receptors are pentameric, consisting of proteins from several subunit classes: alpha, beta, gamma, delta and rho. Mutations in this gene cause juvenile myoclonic epilepsy and childhood absence epilepsy type 4. Multiple transcript variants encoding the same protein have been identified for this gene. [provided by RefSeq, Jul 2008],
关闭

在线咨询

Online consultation

  • 在线咨询
  • 技术支持

关注微信公众号

微信扫一扫立即咨询

微信扫一扫立即咨询

关闭