产品中心

IGFBP1 rabbit pAb
一键复制产品信息
ES4297
规格: 价格:
50µL ¥1280.00
100µL ¥1980.00

Overview

Product name: IGFBP1 rabbit pAb
Reactivity: Human;Rat;Mouse;
Alternative Names: IGFBP1; IBP1; Insulin-like growth factor-binding protein 1; IBP-1; IGF-binding protein 1; IGFBP-1; Placental protein 12; PP12
Source: Rabbit
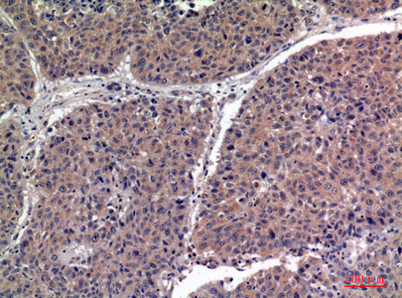
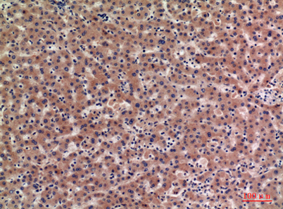
Dilutions: Western Blot: 1/500 - 1/2000. IHC-p: 1:100-1:300. ELISA: 1/10000. Not yet tested in other applications.
Immunogen: The antiserum was produced against synthesized peptide derived from the Internal region of human IGFBP1. AA range:91-140
Storage: -20°C/1 year
Clonality: Polyclonal
Isotype: IgG
Concentration: 1 mg/ml
Observed Band: 28kD
GeneID: 3484
Human Swiss-Prot No: P08833
Cellular localization: Secreted.
Background: This gene is a member of the insulin-like growth factor binding protein (IGFBP) family and encodes a protein with an IGFBP domain and a thyroglobulin type-I domain. The protein binds both insulin-like growth factors (IGFs) I and II and circulates in the plasma. Binding of this protein prolongs the half-life of the IGFs and alters their interaction with cell surface receptors. [provided by RefSeq, Jul 2008],
关闭

在线咨询

Online consultation

  • 在线咨询
  • 技术支持

关注微信公众号

微信扫一扫立即咨询

微信扫一扫立即咨询

关闭