产品中心

11β-HSD1 rabbit pAb
一键复制产品信息
ES4290
规格: 价格:
50µL ¥1280.00
100µL ¥1980.00

Overview

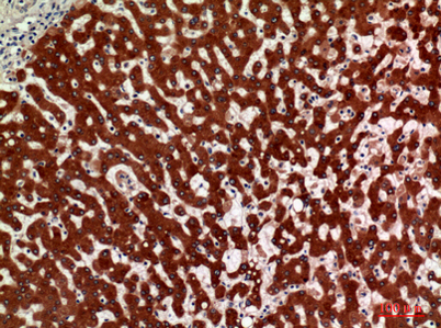
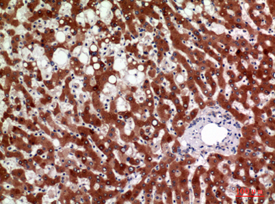
Product name: 11β-HSD1 rabbit pAb
Reactivity: Human;Mouse;Rat
Alternative Names: HSD11B1; HSD11; HSD11L; Corticosteroid 11-beta-dehydrogenase isozyme 1; 11-beta-hydroxysteroid dehydrogenase 1; 11-DH; 11-beta-HSD1
Source: Rabbit
Dilutions: Western Blot: 1/500 - 1/2000. IHC-p: 1:100-1:300. ELISA: 1/10000. Not yet tested in other applications.
Immunogen: Synthesized peptide derived from 11β-HSD1 . at AA range: internal
Storage: -20°C/1 year
Clonality: Polyclonal
Isotype: IgG
Concentration: 1 mg/ml
Observed Band: 35kD
GeneID: 3290
Human Swiss-Prot No: P28845
Cellular localization: Endoplasmic reticulum membrane ; Single-pass type II membrane protein .
Background: hydroxysteroid 11-beta dehydrogenase 1(HSD11B1) Homo sapiens The protein encoded by this gene is a microsomal enzyme that catalyzes the conversion of the stress hormone cortisol to the inactive metabolite cortisone. In addition, the encoded protein can catalyze the reverse reaction, the conversion of cortisone to cortisol. Too much cortisol can lead to central obesity, and a particular variation in this gene has been associated with obesity and insulin resistance in children. Mutations in this gene and H6PD (hexose-6-phosphate dehydrogenase (glucose 1-dehydrogenase)) are the cause of cortisone reductase deficiency. Alternate splicing results in multiple transcript variants encoding the same protein.[provided by RefSeq, May 2011],
关闭

在线咨询

Online consultation

  • 在线咨询
  • 技术支持

关注微信公众号

微信扫一扫立即咨询

微信扫一扫立即咨询

关闭