产品中心

IL-6Rα rabbit pAb
一键复制产品信息
ES4276
规格: 价格:
50µL ¥1280.00
100µL ¥1980.00

Overview

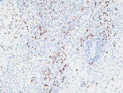
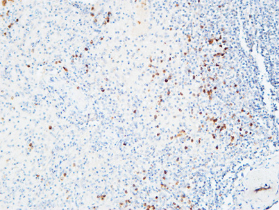
Product name: IL-6Rα rabbit pAb
Reactivity: Human;Rat;Mouse;
Alternative Names: IL6R; Interleukin-6 receptor subunit alpha; IL-6 receptor subunit alpha; IL-6R subunit alpha; IL-6R-alpha; IL-6RA; IL-6R 1; Membrane glycoprotein 80; gp80; CD126
Source: Rabbit
Dilutions: IHC-p: 100-300.Western Blot: 1/500 - 1/2000. ELISA: 1/10000. Not yet tested in other applications.
Immunogen: The antiserum was produced against synthesized peptide derived from the Internal region of human IL6R. AA range:221-270
Storage: -20°C/1 year
Clonality: Polyclonal
Isotype: IgG
Concentration: 1 mg/ml
Observed Band: 53kD
GeneID: 3570
Human Swiss-Prot No: P08887
Cellular localization: [Isoform 1]: Cell membrane ; Single-pass type I membrane protein .; [Isoform 2]: Secreted .; [Soluble interleukin-6 receptor subunit alpha]: Secreted .
Background: This gene encodes a subunit of the interleukin 6 (IL6) receptor complex. Interleukin 6 is a potent pleiotropic cytokine that regulates cell growth and differentiation and plays an important role in the immune response. The IL6 receptor is a protein complex consisting of this protein and interleukin 6 signal transducer (IL6ST/GP130/IL6-beta), a receptor subunit also shared by many other cytokines. Dysregulated production of IL6 and this receptor are implicated in the pathogenesis of many diseases, such as multiple myeloma, autoimmune diseases and prostate cancer. Alternatively spliced transcript variants encoding distinct isoforms have been reported. A pseudogene of this gene is found on chromosome 9.[provided by RefSeq, May 2011],
关闭

在线咨询

Online consultation

  • 在线咨询
  • 技术支持

关注微信公众号

微信扫一扫立即咨询

微信扫一扫立即咨询

关闭