产品中心

C4a/b rabbit pAb
一键复制产品信息
ES4272
规格: 价格:
50µL ¥1280.00
100µL ¥1980.00

Overview

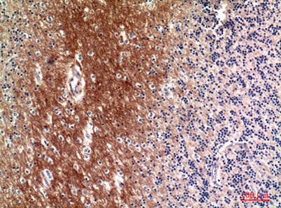
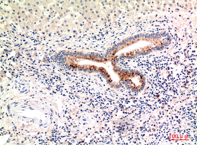
Product name: C4a/b rabbit pAb
Reactivity: Human;Rat;Mouse;
Alternative Names: C4A; CO4; CPAMD2; Complement C4-A; Acidic complement C4; C3 and PZP-like alpha-2-macroglobulin domain-containing protein 2; C4B; CO4; CPAMD3; Complement C4-B; Basic complement C4; C3 and PZP-like alpha-2-macroglobulin domain-containing protein 3
Source: Rabbit
Dilutions: Western Blot: 1/500 - 1/2000. IHC-p: 1:100-1:300. ELISA: 1/10000. Not yet tested in other applications.
Immunogen: The antiserum was produced against synthesized peptide derived from the Internal region of human C4A/C4B. AA range:721-770
Storage: -20°C/1 year
Clonality: Polyclonal
Isotype: IgG
Concentration: 1 mg/ml
Observed Band: 180kD
GeneID: 720/721
Human Swiss-Prot No: P0C0L4/P0C0L5
Cellular localization: Secreted. Cell junction, synapse . Cell projection, axon . Cell projection, dendrite .
Background: This gene encodes the acidic form of complement factor 4, part of the classical activation pathway. The protein is expressed as a single chain precursor which is proteolytically cleaved into a trimer of alpha, beta, and gamma chains prior to secretion. The trimer provides a surface for interaction between the antigen-antibody complex and other complement components. The alpha chain is cleaved to release C4 anaphylatoxin, an antimicrobial peptide and a mediator of local inflammation. Deficiency of this protein is associated with systemic lupus erythematosus and type I diabetes mellitus. This gene localizes to the major histocompatibility complex (MHC) class III region on chromosome 6. Varying haplotypes of this gene cluster exist, such that individuals may have 1, 2, or 3 copies of this gene. Two transcript variants encoding different isoforms have been found for this gene. [provided
关闭

在线咨询

Online consultation

  • 在线咨询
  • 技术支持

关注微信公众号

微信扫一扫立即咨询

微信扫一扫立即咨询

关闭