产品中心

Ub rabbit pAb
一键复制产品信息
ES4271
规格: 价格:
50µL ¥1280.00
100µL ¥1980.00

Overview

Product name: Ub rabbit pAb
Reactivity: Human;Mouse;Rat
Alternative Names: UBB; Polyubiquitin-B; UBC; Polyubiquitin-C; RPS27A; UBA80; UBCEP1; Ubiquitin-40S ribosomal protein S27a; Ubiquitin carboxyl extension protein 80; UBA52; UBCEP2; Ubiquitin-60S ribosomal protein L40; CEP52; Ubiquitin A-52 residue ribosomal protein fusion product 1
Source: Rabbit
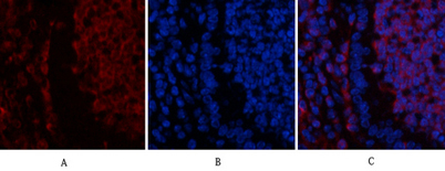
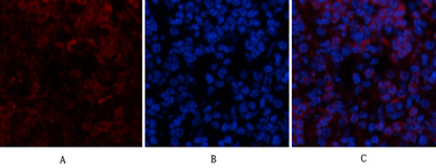
Dilutions: IF: 1:50-200 Western Blot: 1/500 - 1/2000. IHC-p: 1:100-1:300. ELISA: 1/10000. Not yet tested in other applications.
Immunogen: Synthesized peptide derived from the N-terminal region of human Ub.
Storage: -20°C/1 year
Clonality: Polyclonal
Isotype: IgG
Concentration: 1 mg/ml
Observed Band: 80 50kD
Human Swiss-Prot No: P62987/P62979/P0CG47/P0CG48
Cellular localization: [Ubiquitin]: Cytoplasm . Nucleus .; [60S ribosomal protein L40]: Cytoplasm .
Background: Ubiquitin is a highly conserved nuclear and cytoplasmic protein that has a major role in targeting cellular proteins for degradation by the 26S proteosome. It is also involved in the maintenance of chromatin structure, the regulation of gene expression, and the stress response. Ubiquitin is synthesized as a precursor protein consisting of either polyubiquitin chains or a single ubiquitin moiety fused to an unrelated protein. This gene encodes a fusion protein consisting of ubiquitin at the N terminus and ribosomal protein L40 at the C terminus, a C-terminal extension protein (CEP). Multiple processed pseudogenes derived from this gene are present in the genome. [provided by RefSeq, Jul 2008],
关闭

在线咨询

Online consultation

  • 在线咨询
  • 技术支持

关注微信公众号

微信扫一扫立即咨询

微信扫一扫立即咨询

关闭