产品中心

RSAD2 rabbit pAb
一键复制产品信息
ES4264
规格: 价格:
50µL ¥1280.00
100µL ¥1980.00

Overview

Product name: RSAD2 rabbit pAb
Reactivity: Human;Rat;Mouse;
Alternative Names: RSAD2; CIG5; Radical S-adenosyl methionine domain-containing protein 2; Cytomegalovirus-induced gene 5 protein; Viperin; Virus inhibitory protein, endoplasmic reticulum-associated, interferon-inducible
Source: Rabbit
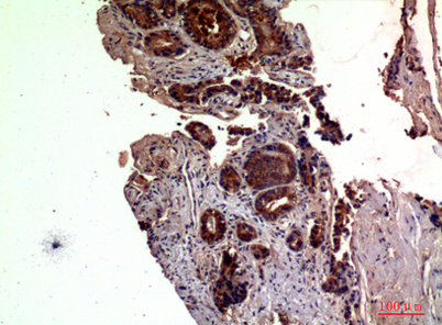
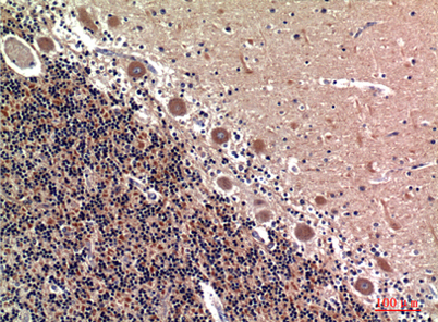
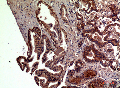
Dilutions: Western Blot: 1/500 - 1/2000. IHC-p: 1:100-1:300. ELISA: 1/20000. Not yet tested in other applications.
Immunogen: The antiserum was produced against synthesized peptide derived from the N-terminal region of human RSAD2. AA range:21-70
Storage: -20°C/1 year
Clonality: Polyclonal
Isotype: IgG
Concentration: 1 mg/ml
Observed Band: 42kD
GeneID: 91543
Human Swiss-Prot No: Q8WXG1
Cellular localization: Endoplasmic reticulum membrane; Peripheral membrane protein; Cytoplasmic side. Golgi apparatus . Endoplasmic reticulum . Lipid droplet . Mitochondrion. Mitochondrion inner membrane. Mitochondrion outer membrane. Infection with human cytomegalovirus (HCMV) causes relocation to the Golgi apparatus and to cytoplasmic vacuoles which also contain HCMV proteins glycoprotein B and pp28. Interaction with human cytomegalovirus/HHV-5 protein vMIA/UL37 results in its relocalization from the endoplasmic reticulum to the mitochondria.
Background: cofactor:Binds 1 4Fe-4S cluster. The cluster is coordinated with 3 cysteines and an exchangeable S-adenosyl-L-methionine.,function:Involved in antiviral defense. May impair virus budding by disrupting lipid rafts at the plasma membrane, a feature which is essential for the budding process of many viruses. Acts through binding with and inactivating FPPS, an enzyme involved in synthesis of cholesterol, farnesylated and geranylated proteins, ubiquinones dolichol and heme. Plays a major role in the cell antiviral state induced by type I and type II interferon. Displays antiviral effect against HIV-1 virus, hepatitis C virus, human cytomegalovirus, and aphaviruses, but not vesiculovirus.,induction:By interferon type I, type II and LPS. Little or no induction by interferon gamma is observed in monocytic cell lines. Induced by infection with human cytomegalovirus (HMCV), hepatitis C virus, yellow fever virus and Sendai virus, presumably through type I interferon pathway.,miscellaneous:Up-regulated in atherosclerosis. Latent viruses like HCMV may be involved in atherogenesis by initiating local inflammation. This may induce up-regulation of antiviral gene RSAD2, which modulates lipids synthesis, and thus could play a role in abnormal lipid accumulation leading to atherosclerosis.,similarity:Belongs to the RSAD2 family.,subcellular location:Probably associates with the cytosolic side of the endoplasmic reticulum. Infection with human cytomegalovirus (HCMV) causes relocation to the Golgi apparatus and to cytoplasmic vacuoles which also contain HCMV proteins glycoprotein B and pp28.,subunit:Interacts with FPPS.,
关闭

在线咨询

Online consultation

  • 在线咨询
  • 技术支持

关注微信公众号

微信扫一扫立即咨询

微信扫一扫立即咨询

关闭