产品中心

PTN rabbit pAb
一键复制产品信息
ES4249
规格: 价格:
50µL ¥1280.00
100µL ¥1980.00

Overview

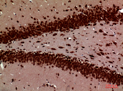
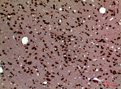
Product name: PTN rabbit pAb
Reactivity: Human;Mouse;Rat
Alternative Names: PTN; HBNF1; NEGF1; Pleiotrophin; PTN; Heparin-binding brain mitogen; HBBM; Heparin-binding growth factor 8; HBGF-8; Heparin-binding growth-associated molecule; HB-GAM; Heparin-binding neurite outgrowth-promoting factor 1; HBNF-1; Osteoblast-specific factor 1; OSF-1
Source: Rabbit
Dilutions: Western Blot: 1/500 - 1/2000. IHC-p: 1:100-1:300. ELISA: 1/20000. Not yet tested in other applications.
Immunogen: The antiserum was produced against synthesized peptide derived from the Internal region of human PTN. AA range:1-50
Storage: -20°C/1 year
Clonality: Polyclonal
Isotype: IgG
Concentration: 1 mg/ml
Observed Band: 19kD
GeneID: 5764
Human Swiss-Prot No: P21246
Cellular localization: Secreted .
Background: function:Heparin binding mitogenic protein. Has neurite extension activity.,induction:By heparin and retinoic acid.,online information:Pleiotrophin entry,similarity:Belongs to the pleiotrophin family.,tissue specificity:Osteoblast and brain.,
关闭

在线咨询

Online consultation

  • 在线咨询
  • 技术支持

关注微信公众号

微信扫一扫立即咨询

微信扫一扫立即咨询

关闭