产品中心

SAMHD1 rabbit pAb
一键复制产品信息
ES4221
规格: 价格:
50µL ¥1280.00
100µL ¥1980.00

Overview

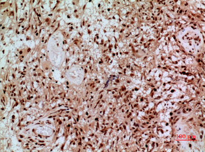
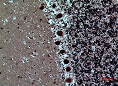
Product name: SAMHD1 rabbit pAb
Reactivity: Human;Rat;Mouse;
Alternative Names: SAMHD1; MOP5; SAM domain and HD domain-containing protein 1; Dendritic cell-derived IFNG-induced protein; DCIP; Monocyte protein 5; MOP-5
Source: Rabbit
Dilutions: Western Blot: 1/500 - 1/2000. IHC-p: 1/100-1/300. ELISA: 1/20000. Not yet tested in other applications.
Immunogen: The antiserum was produced against synthesized peptide derived from the Internal region of human SAMHD1. AA range:431-480
Storage: -20°C/1 year
Clonality: Polyclonal
Isotype: IgG
Concentration: 1 mg/ml
Observed Band: 72kD
GeneID: 25939
Human Swiss-Prot No: Q9Y3Z3
Cellular localization: Nucleus . Chromosome . Localizes to sites of DNA double-strand breaks in response to DNA damage. .
Background: SAM and HD domain containing deoxynucleoside triphosphate triphosphohydrolase 1(SAMHD1) Homo sapiens This gene may play a role in regulation of the innate immune response. The encoded protein is upregulated in response to viral infection and may be involved in mediation of tumor necrosis factor-alpha proinflammatory responses. Mutations in this gene have been associated with Aicardi-Goutieres syndrome. [provided by RefSeq, Mar 2010],
关闭

在线咨询

Online consultation

  • 在线咨询
  • 技术支持

关注微信公众号

微信扫一扫立即咨询

微信扫一扫立即咨询

关闭