产品中心

CRF-RI rabbit pAb
一键复制产品信息
ES4220
规格: 价格:
50µL ¥1280.00
100µL ¥1980.00

Overview

Product name: CRF-RI rabbit pAb
Reactivity: Human;Mouse;Rat
Alternative Names: CRHR1; CRFR; CRFR1; CRHR; Corticotropin-releasing factor receptor 1; CRF-R-1; CRF-R1; CRFR-1; Corticotropin-releasing hormone receptor 1; CRH-R-1; CRH-R1
Source: Rabbit
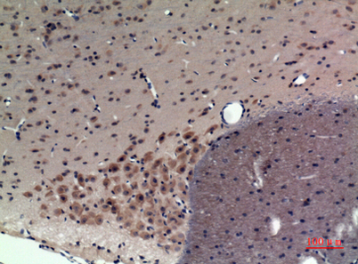
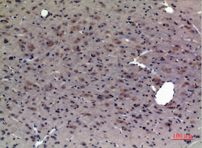
Dilutions: Western Blot: 1/500 - 1/2000. Immunohistochemistry: 1/100 - 1/300. Immunofluorescence: 1/200 - 1/1000. ELISA: 1/5000. Not yet tested in other applications.
Immunogen: The antiserum was produced against synthesized peptide derived from the Internal region of human CRHR1. AA range:71-120
Storage: -20°C/1 year
Clonality: Polyclonal
Isotype: IgG
Concentration: 1 mg/ml
Observed Band: 50kD
GeneID: 1394
Human Swiss-Prot No: P34998
Cellular localization: Cell membrane; Multi-pass membrane protein. Endosome. Agonist-binding promotes endocytosis.
Background: This gene encodes a G-protein coupled receptor that binds neuropeptides of the corticotropin releasing hormone family that are major regulators of the hypothalamic-pituitary-adrenal pathway. The encoded protein is essential for the activation of signal transduction pathways that regulate diverse physiological processes including stress, reproduction, immune response and obesity. Alternative splicing results in multiple transcript variants. Naturally-occurring readthrough transcription between this gene and upstream GeneID:147081 results in transcripts that encode isoforms that share similarity with the products of this gene. [provided by RefSeq, Aug 2016],
关闭

在线咨询

Online consultation

  • 在线咨询
  • 技术支持

关注微信公众号

微信扫一扫立即咨询

微信扫一扫立即咨询

关闭