产品中心

CD225 rabbit pAb
一键复制产品信息
ES4208
规格: 价格:
50µL ¥1280.00
100µL ¥1980.00

Overview

Product name: CD225 rabbit pAb
Reactivity: Human;Rat;Mouse;
Alternative Names: IFITM1; CD225; IFI17; Interferon-induced transmembrane protein 1; Dispanin subfamily A member 2a; DSPA2a; Interferon-induced protein 17; Interferon-inducible protein 9-27; Leu-13 antigen; CD225
Source: Rabbit
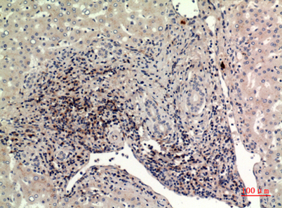
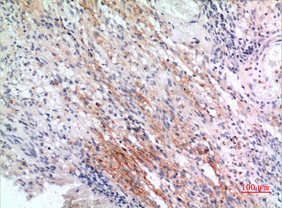
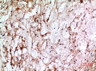
Dilutions: Western Blot: 1/500 - 1/2000. IHC-p: 1/100-1/300. ELISA: 1/20000. Not yet tested in other applications.
Immunogen: The antiserum was produced against synthesized peptide derived from the N-terminal region of human IFITM1. AA range:1-50
Storage: -20°C/1 year
Clonality: Polyclonal
Isotype: IgG
Concentration: 1 mg/ml
Observed Band: 15kD
GeneID: 8519
Human Swiss-Prot No: P13164
Cellular localization: Cell membrane ; Single-pass membrane protein . Lysosome membrane .
Background: function:Implicated in the control of cell growth. Component of a multimeric complex involved in the transduction of antiproliferative and homotypic adhesion signals.,induction:By alpha and gamma interferons.,similarity:Belongs to the CD225 family.,
关闭

在线咨询

Online consultation

  • 在线咨询
  • 技术支持

关注微信公众号

微信扫一扫立即咨询

微信扫一扫立即咨询

关闭