产品中心

CD200 rabbit pAb
一键复制产品信息
ES4204
规格: 价格:
50µL ¥1280.00
100µL ¥1980.00

Overview

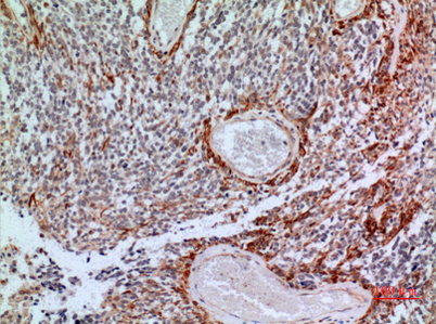
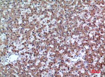
Product name: CD200 rabbit pAb
Reactivity: Human;Rat;Mouse;
Alternative Names: CD200; MOX1; MOX2; My033; OX-2 membrane glycoprotein; CD200
Source: Rabbit
Dilutions: Western Blot: 1/500 - 1/2000. IHC-p: 1/100-1/300. ELISA: 1/20000. Not yet tested in other applications.
Immunogen: The antiserum was produced against synthesized peptide derived from the Internal region of human CD200. AA range:171-220
Storage: -20°C/1 year
Clonality: Polyclonal
Isotype: IgG
Concentration: 1 mg/ml
Observed Band: 31kD
GeneID: 4345
Human Swiss-Prot No: P41217
Cellular localization: Cell membrane; Single-pass type I membrane protein.
Background: This gene encodes a type I membrane glycoprotein containing two extracellular immunoglobulin domains, a transmembrane and a cytoplasmic domain. This gene is expressed by various cell types, including B cells, a subset of T cells, thymocytes, endothelial cells, and neurons. The encoded protein plays an important role in immunosuppression and regulation of anti-tumor activity. Alternative splicing results in multiple transcript variants encoding different isoforms. [provided by RefSeq, Jan 2016],
关闭

在线咨询

Online consultation

  • 在线咨询
  • 技术支持

关注微信公众号

微信扫一扫立即咨询

微信扫一扫立即咨询

关闭