产品中心

EMMPRIN rabbit pAb
一键复制产品信息
ES4201
规格: 价格:
50µL ¥1280.00
100µL ¥1980.00

Overview

Product name: EMMPRIN rabbit pAb
Reactivity: Human;Rat;Mouse;
Alternative Names: BSG; Basigin; 5F7; Collagenase stimulatory factor; Extracellular matrix metalloproteinase inducer; EMMPRIN; Leukocyte activation antigen M6; OK blood group antigen; Tumor cell-derived collagenase stimulatory factor; TCSF; CD147
Source: Rabbit
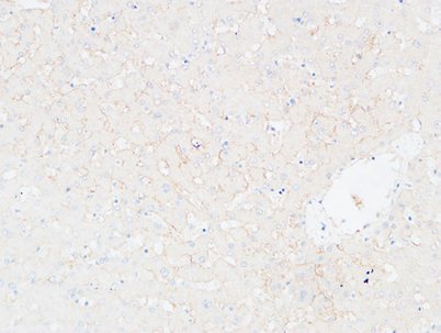
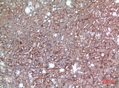
Dilutions: Western Blot: 1/500 - 1/2000. IHC-p: 1/100-1/300. ELISA: 1/20000. Not yet tested in other applications.
Immunogen: The antiserum was produced against synthesized peptide derived from the Internal region of human BSG. AA range:221-270
Storage: -20°C/1 year
Clonality: Polyclonal
Isotype: IgG
Concentration: 1 mg/ml
Observed Band: 50kD
GeneID: 682
Human Swiss-Prot No: P35613
Cellular localization: Melanosome . Identified by mass spectrometry in melanosome fractions from stage I to stage IV. .; [Isoform 1]: Cell membrane ; Single-pass type I membrane protein . Photoreceptor inner segment . Cell projection, cilium, photoreceptor outer segment .; [Isoform 2]: Cell membrane ; Single-pass type I membrane protein . Endosome . Endoplasmic reticulum membrane ; Single-pass type I membrane protein . Basolateral cell membrane ; Single-pass type I membrane protein .; [Isoform 3]: Cell membrane ; Single-pass type I membrane protein .; [Isoform 4]: Cell membrane ; Single-pass type I membrane protein .
Background: The protein encoded by this gene is a plasma membrane protein that is important in spermatogenesis, embryo implantation, neural network formation, and tumor progression. The encoded protein is also a member of the immunoglobulin superfamily. Multiple transcript variants encoding different isoforms have been found for this gene. [provided by RefSeq, Jul 2008],
关闭

在线咨询

Online consultation

  • 在线咨询
  • 技术支持

关注微信公众号

微信扫一扫立即咨询

微信扫一扫立即咨询

关闭