产品中心

IL-1RII rabbit pAb
一键复制产品信息
ES4200
规格: 价格:
50µL ¥1280.00
100µL ¥1980.00

Overview

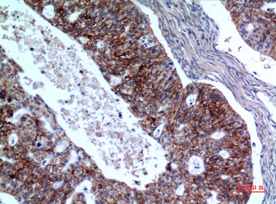
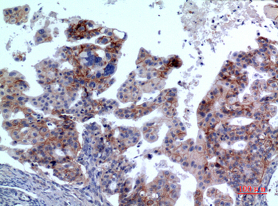
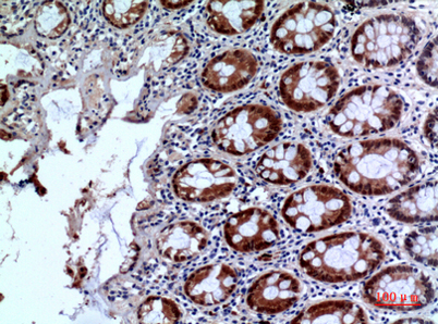
Product name: IL-1RII rabbit pAb
Reactivity: Human;Rat;Mouse;
Alternative Names: IL1R2; IL1RB; Interleukin-1 receptor type 2; IL-1R-2; IL-1RT-2; IL-1RT2; CD121 antigen-like family member B; CDw121b; IL-1 type II receptor; Interleukin-1 receptor beta; IL-1R-beta; Interleukin-1 receptor type II; CD121b
Source: Rabbit
Dilutions: Western Blot: 1/500 - 1/2000. IHC-p: 1/100-1/300. ELISA: 1/20000. Not yet tested in other applications.
Immunogen: The antiserum was produced against synthesized peptide derived from the Internal region of human IL1R2. AA range:141-190
Storage: -20°C/1 year
Clonality: Polyclonal
Isotype: IgG
Concentration: 1 mg/ml
Observed Band: 43kD
GeneID: 7850
Human Swiss-Prot No: P27930
Cellular localization: [Isoform Short]: Secreted .; [Isoform Long]: Cell membrane; Single-pass type I membrane protein.
Background: The protein encoded by this gene is a cytokine receptor that belongs to the interleukin 1 receptor family. This protein binds interleukin alpha (IL1A), interleukin beta (IL1B), and interleukin 1 receptor, type I(IL1R1/IL1RA), and acts as a decoy receptor that inhibits the activity of its ligands. Interleukin 4 (IL4) is reported to antagonize the activity of interleukin 1 by inducing the expression and release of this cytokine. This gene and three other genes form a cytokine receptor gene cluster on chromosome 2q12. Alternative splicing results in multiple transcript variants and protein isoforms. Alternative splicing produces both membrane-bound and soluble proteins. A soluble protein is also produced by proteolytic cleavage. [provided by RefSeq, May 2012],
关闭

在线咨询

Online consultation

  • 在线咨询
  • 技术支持

关注微信公众号

微信扫一扫立即咨询

微信扫一扫立即咨询

关闭