产品中心

CD110 rabbit pAb
一键复制产品信息
ES4199
规格: 价格:
50µL ¥1280.00
100µL ¥1980.00

Overview

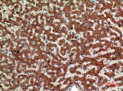
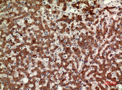
Product name: CD110 rabbit pAb
Reactivity: Human;Mouse;Rat
Alternative Names: MPL; TPOR; Thrombopoietin receptor; TPO-R; Myeloproliferative leukemia protein; Proto-oncogene c-Mpl; CD110
Source: Rabbit
Dilutions: Western Blot: 1/500 - 1/2000. IHC-p: 1/100-1/300. ELISA: 1/20000. Not yet tested in other applications.
Immunogen: Synthesized peptide derived from Thrombopoietin receptor at AA range: 321-370
Storage: -20°C/1 year
Clonality: Polyclonal
Isotype: IgG
Concentration: 1 mg/ml
Observed Band: 69,40kD
GeneID: 4352
Human Swiss-Prot No: P40238
Cellular localization: Cell membrane ; Single-pass type I membrane protein. Golgi apparatus . Cell surface .
Background: In 1990 an oncogene, v-mpl, was identified from the murine myeloproliferative leukemia virus that was capable of immortalizing bone marrow hematopoietic cells from different lineages. In 1992 the human homologue, named, c-mpl, was cloned. Sequence data revealed that c-mpl encoded a protein that was homologous with members of the hematopoietic receptor superfamily. Presence of anti-sense oligodeoxynucleotides of c-mpl inhibited megakaryocyte colony formation. The ligand for c-mpl, thrombopoietin, was cloned in 1994. Thrombopoietin was shown to be the major regulator of megakaryocytopoiesis and platelet formation. The protein encoded by the c-mpl gene, CD110, is a 635 amino acid transmembrane domain, with two extracellular cytokine receptor domains and two intracellular cytokine receptor box motifs . TPO-R deficient mice were severely thrombocytopenic, emphasizing the important
关闭

在线咨询

Online consultation

  • 在线咨询
  • 技术支持

关注微信公众号

微信扫一扫立即咨询

微信扫一扫立即咨询

关闭