产品中心

LIR-7 rabbit pAb
一键复制产品信息
ES4196
规格: 价格:
50µL ¥1280.00
100µL ¥1980.00

Overview

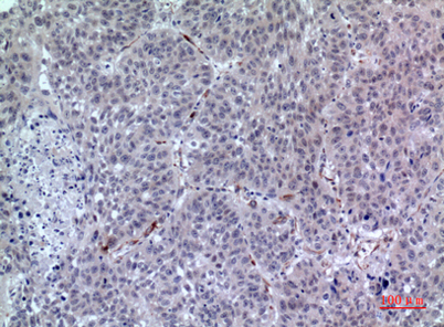
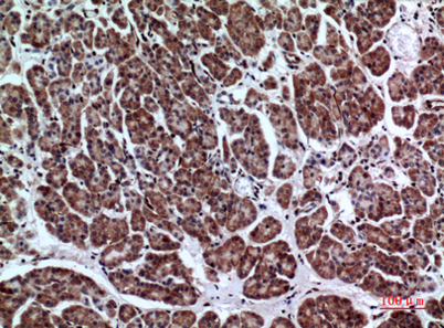
Product name: LIR-7 rabbit pAb
Reactivity: Human;Rat;Mouse;
Alternative Names: LILRA2; ILT1; LIR7; Leukocyte immunoglobulin-like receptor subfamily A member 2; CD85 antigen-like family member H; Immunoglobulin-like transcript 1; ILT-1; Leukocyte immunoglobulin-like receptor 7; LIR-7; CD85h
Source: Rabbit
Dilutions: Western Blot: 1/500 - 1/2000. IHC-p: 1/100-1/300. ELISA: 1/20000. Not yet tested in other applications.
Immunogen: The antiserum was produced against synthesized peptide derived from the Internal region of human LILRA2. AA range:121-170
Storage: -20°C/1 year
Clonality: Polyclonal
Isotype: IgG
Concentration: 1 mg/ml
Observed Band: 53kD
GeneID: 11027
Human Swiss-Prot No: Q8N149
Cellular localization: Cell membrane ; Single-pass type I membrane protein .; [Isoform 4]: Secreted .
Background: This gene encodes a member of a family of immunoreceptors that are expressed predominantly on monocytes and B cells, and at lower levels on dendritic cells and natural killer cells. The encoded protein is an activating receptor that inhibits dendritic cell differentiation and antigen presentation and suppresses innate immune response. Alternatively spliced transcript variants encoding different isoforms have been found. This gene is located in a cluster of related genes on chromosome 19 and there is a pseudogene for this gene on chromosome 3. [provided by RefSeq, Mar 2014],
关闭

在线咨询

Online consultation

  • 在线咨询
  • 技术支持

关注微信公众号

微信扫一扫立即咨询

微信扫一扫立即咨询

关闭