产品中心

Integrin αD rabbit pAb
一键复制产品信息
ES4190
规格: 价格:
50µL ¥1280.00
100µL ¥1980.00

Overview

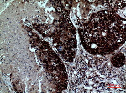
Product name: Integrin αD rabbit pAb
Reactivity: Human;Rat;Mouse;
Alternative Names: ITGAD; Integrin alpha-D; ADB2; CD11 antigen-like family member D; Leukointegrin alpha D; CD11d
Source: Rabbit
Dilutions: Western Blot: 1/500 - 1/2000. IHC-p: 1/100-1/300. ELISA: 1/20000. Not yet tested in other applications.
Immunogen: The antiserum was produced against synthesized peptide derived from the Internal region of human ITGAD. AA range:901-950
Storage: -20°C/1 year
Clonality: Polyclonal
Isotype: IgG
Concentration: 1 mg/ml
Observed Band: 127kD
GeneID: 3681
Human Swiss-Prot No: Q13349
Cellular localization: Membrane; Single-pass type I membrane protein.
Background: integrin subunit alpha D(ITGAD) Homo sapiens This gene belongs to the beta-2 integrin family of membrane glycoproteins, which are are composed of non-covalently linked alpha and beta subunits to form a heterodimer. It encodes the alpha subunit of the cell surface heterodimers and is involved in the activation and adhesion functions of leukocytes. The gene is located about 11kb downstream of the integrin subunit alpha X gene, another member of the integrin family. It is expressed in the tissue and circulating myeloid leukocytes. Alternative splicing results in multiple transcript variants. [provided by RefSeq, Dec 2015],
关闭

在线咨询

Online consultation

  • 在线咨询
  • 技术支持

关注微信公众号

微信扫一扫立即咨询

微信扫一扫立即咨询

关闭