产品中心

CD3-δ rabbit pAb
一键复制产品信息
ES4188
规格: 价格:
50µL ¥1280.00
100µL ¥1980.00

Overview

Product name: CD3-δ rabbit pAb
Reactivity: Human;Rat;Mouse;
Alternative Names: CD3D; T3D; T-cell surface glycoprotein CD3 delta chain; T-cell receptor T3 delta chain; CD3d
Source: Rabbit
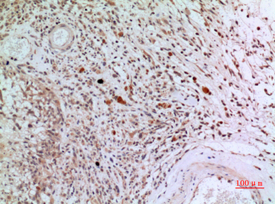
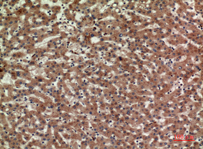
Dilutions: Western Blot: 1/500 - 1/2000. IHC-p: 1/100-1/300. ELISA: 1/20000. Not yet tested in other applications.
Immunogen: The antiserum was produced against synthesized peptide derived from the Internal region of human CD3D. AA range:41-90
Storage: -20°C/1 year
Clonality: Polyclonal
Isotype: IgG
Concentration: 1 mg/ml
Observed Band: 18kD
GeneID: 915
Human Swiss-Prot No: P04234
Cellular localization: Cell membrane; Single-pass type I membrane protein.
Background: The protein encoded by this gene is part of the T-cell receptor/CD3 complex (TCR/CD3 complex) and is involved in T-cell development and signal transduction. The encoded membrane protein represents the delta subunit of the CD3 complex, and along with four other CD3 subunits, binds either TCR alpha/beta or TCR gamma/delta to form the TCR/CD3 complex on the surface of T-cells. Defects in this gene are a cause of severe combined immunodeficiency autosomal recessive T-cell-negative/B-cell-positive/NK-cell-positive (SCIDBNK). Two transcript variants encoding different isoforms have been found for this gene. Other variants may also exist, but the full-length natures of their transcripts has yet to be defined. [provided by RefSeq, Feb 2009],
关闭

在线咨询

Online consultation

  • 在线咨询
  • 技术支持

关注微信公众号

微信扫一扫立即咨询

微信扫一扫立即咨询

关闭