产品中心

FMO3 rabbit pAb
一键复制产品信息
ES4183
规格: 价格:
50µL ¥1280.00
100µL ¥1980.00

Overview

Product name: FMO3 rabbit pAb
Reactivity: Human;Rat;Mouse;
Alternative Names: FMO3; Dimethylaniline monooxygenase [N-oxide-forming] 3; Dimethylaniline oxidase 3; FMO II; FMO form 2; Hepatic flavin-containing monooxygenase 3; FMO 3; Trimethylamine monooxygenase
Source: Rabbit
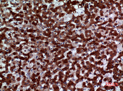
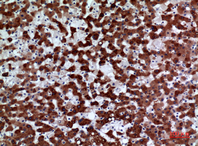
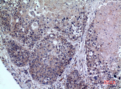
Dilutions: Western Blot: 1/500 - 1/2000. IHC-p: 1/100-1/300. ELISA: 1/20000. Not yet tested in other applications.
Immunogen: The antiserum was produced against synthesized peptide derived from the Internal region of human FMO3. AA range:101-150
Storage: -20°C/1 year
Clonality: Polyclonal
Isotype: IgG
Concentration: 1 mg/ml
Observed Band: 58kD
GeneID: 2328
Human Swiss-Prot No: P31513
Cellular localization: Microsome membrane ; Single-pass membrane protein . Endoplasmic reticulum membrane ; Single-pass membrane protein .
Background: flavin containing monooxygenase 3(FMO3) Homo sapiens Flavin-containing monooxygenases (FMO) are an important class of drug-metabolizing enzymes that catalyze the NADPH-dependent oxygenation of various nitrogen-,sulfur-, and phosphorous-containing xenobiotics such as therapeutic drugs, dietary compounds, pesticides, and other foreign compounds. The human FMO gene family is composed of 5 genes and multiple pseudogenes. FMO members have distinct developmental- and tissue-specific expression patterns. The expression of this FMO3 gene, the major FMO expressed in adult liver, can vary up to 20-fold between individuals. This inter-individual variation in FMO3 expression levels is likely to have significant effects on the rate at which xenobiotics are metabolised and, therefore, is of considerable interest to the pharmaceutical industry. This transmembrane protein localizes to the endoplasmic reticulum of many tissues. Alternative splicing of this gen
关闭

在线咨询

Online consultation

  • 在线咨询
  • 技术支持

关注微信公众号

微信扫一扫立即咨询

微信扫一扫立即咨询

关闭