产品中心

Neuropilin rabbit pAb
一键复制产品信息
ES4182
规格: 价格:
50µL ¥1280.00
100µL ¥1980.00

Overview

Product name: Neuropilin rabbit pAb
Reactivity: Human;Mouse;Rat
Alternative Names: NRP1; NRP; VEGF165R; Neuropilin-1; Vascular endothelial cell growth factor 165 receptor; CD304
Source: Rabbit
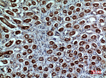
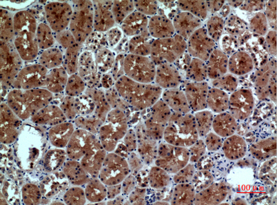
Dilutions: Western Blot: 1/500 - 1/2000. IHC-p: 1/100-1/300. ELISA: 1/20000. Not yet tested in other applications.
Immunogen: The antiserum was produced against synthesized peptide derived from the Internal region of human NRP1. AA range:321-370
Storage: -20°C/1 year
Clonality: Polyclonal
Isotype: IgG
Concentration: 1 mg/ml
Observed Band: 100kD
GeneID: 8829
Human Swiss-Prot No: O14786
Cellular localization: [Isoform 2]: Secreted .; Mitochondrion membrane ; Single-pass type I membrane protein . Cell membrane ; Single-pass type I membrane protein . Cytoplasm .
Background: This gene encodes one of two neuropilins, which contain specific protein domains which allow them to participate in several different types of signaling pathways that control cell migration. Neuropilins contain a large N-terminal extracellular domain, made up of complement-binding, coagulation factor V/VIII, and meprin domains. These proteins also contains a short membrane-spanning domain and a small cytoplasmic domain. Neuropilins bind many ligands and various types of co-receptors; they affect cell survival, migration, and attraction. Some of the ligands and co-receptors bound by neuropilins are vascular endothelial growth factor (VEGF) and semaphorin family members. Several alternatively spliced transcript variants that encode different protein isoforms have been described for this gene. [provided by RefSeq, Oct 2011],
关闭

在线咨询

Online consultation

  • 在线咨询
  • 技术支持

关注微信公众号

微信扫一扫立即咨询

微信扫一扫立即咨询

关闭