产品中心

SDHB rabbit pAb
一键复制产品信息
ES4180
规格: 价格:
50µL ¥1280.00
100µL ¥1980.00

Overview

Product name: SDHB rabbit pAb
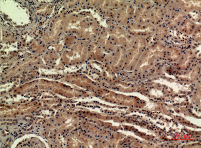
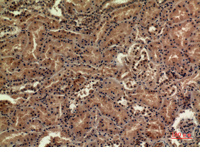
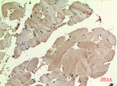
Reactivity: Human;Mouse;Rat;Fish
Alternative Names: SDHB; SDH; SDH1; Succinate dehydrogenase [ubiquinone] iron-sulfur subunit, mitochondrial; Iron-sulfur subunit of complex II; Ip
Source: Rabbit
Dilutions: Western Blot: 1/500 - 1/2000. IHC-p: 1/100-1/300. ELISA: 1/20000. Not yet tested in other applications.
Immunogen: The antiserum was produced against synthesized peptide derived from the Internal region of human SDHB. AA range:131-180
Storage: -20°C/1 year
Clonality: Polyclonal
Isotype: IgG
Concentration: 1 mg/ml
Observed Band: 31kD
GeneID: 6390
Human Swiss-Prot No: P21912
Cellular localization: Mitochondrion inner membrane; Peripheral membrane protein; Matrix side.
Background: Complex II of the respiratory chain, which is specifically involved in the oxidation of succinate, carries electrons from FADH to CoQ. The complex is composed of four nuclear-encoded subunits and is localized in the mitochondrial inner membrane. The iron-sulfur subunit is highly conserved and contains three cysteine-rich clusters which may comprise the iron-sulfur centers of the enzyme. Sporadic and familial mutations in this gene result in paragangliomas and pheochromocytoma, and support a link between mitochondrial dysfunction and tumorigenesis. [provided by RefSeq, Jul 2008],
关闭

在线咨询

Online consultation

  • 在线咨询
  • 技术支持

关注微信公众号

微信扫一扫立即咨询

微信扫一扫立即咨询

关闭