产品中心

IL-12A p35 rabbit pAb
一键复制产品信息
ES4172
规格: 价格:
50µL ¥1280.00
100µL ¥1980.00

Overview

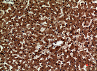
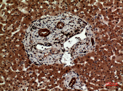
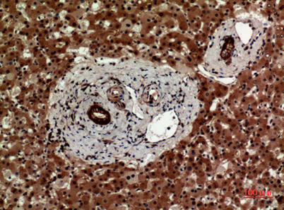
Product name: IL-12A p35 rabbit pAb
Reactivity: Human;Rat;Mouse;
Alternative Names: IL12A; NKSF1; Interleukin-12 subunit alpha; IL-12A; Cytotoxic lymphocyte maturation factor 35 kDa subunit; CLMF p35; IL-12 subunit p35; NK cell stimulatory factor chain 1; NKSF1
Source: Rabbit
Dilutions: Western Blot: 1/500 - 1/2000. IHC-p: 1/100-1/300. ELISA: 1/20000. Not yet tested in other applications.
Immunogen: The antiserum was produced against synthesized peptide derived from the Internal region of human IL12A. AA range:31-80
Storage: -20°C/1 year
Clonality: Polyclonal
Isotype: IgG
Concentration: 1 mg/ml
Observed Band: 35kD
GeneID: 3592
Human Swiss-Prot No: P29459
Cellular localization: Secreted .
Background: This gene encodes a subunit of a cytokine that acts on T and natural killer cells, and has a broad array of biological activities. The cytokine is a disulfide-linked heterodimer composed of the 35-kD subunit encoded by this gene, and a 40-kD subunit that is a member of the cytokine receptor family. This cytokine is required for the T-cell-independent induction of interferon (IFN)-gamma, and is important for the differentiation of both Th1 and Th2 cells. The responses of lymphocytes to this cytokine are mediated by the activator of transcription protein STAT4. Nitric oxide synthase 2A (NOS2A/NOS2) is found to be required for the signaling process of this cytokine in innate immunity. [provided by RefSeq, Jul 2008],
关闭

在线咨询

Online consultation

  • 在线咨询
  • 技术支持

关注微信公众号

微信扫一扫立即咨询

微信扫一扫立即咨询

关闭