产品中心

ApoA-I rabbit pAb
一键复制产品信息
ES4169
规格: 价格:
50µL ¥1280.00
100µL ¥1980.00

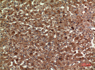
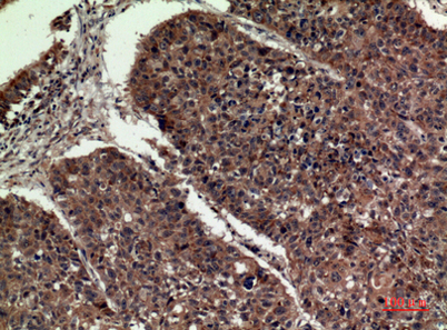
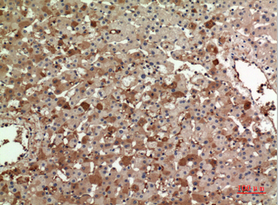
Overview 文献(4)

Product name: ApoA-I rabbit pAb
Reactivity: Human;Mouse
Alternative Names: APOA1; Apolipoprotein A-I; Apo-AI; ApoA-I; Apolipoprotein A1
Source: Rabbit
Dilutions: Western Blot: 1/500 - 1/2000. IHC-p: 1/100-1/300. ELISA: 1/20000. Not yet tested in other applications.
Immunogen: The antiserum was produced against synthesized peptide derived from the Internal region of human APOA1. AA range:81-130
Storage: -20°C/1 year
Clonality: Polyclonal
Isotype: IgG
Concentration: 1 mg/ml
Observed Band: 31kD
GeneID: 335
Human Swiss-Prot No: P02647
Cellular localization: Secreted.
Background: This gene encodes apolipoprotein A-I, which is the major protein component of high density lipoprotein (HDL) in plasma. The encoded preproprotein is proteolytically processed to generate the mature protein, which promotes cholesterol efflux from tissues to the liver for excretion, and is a cofactor for lecithin cholesterolacyltransferase (LCAT), an enzyme responsible for the formation of most plasma cholesteryl esters. This gene is closely linked with two other apolipoprotein genes on chromosome 11. Defects in this gene are associated with HDL deficiencies, including Tangier disease, and with systemic non-neuropathic amyloidosis. Alternative splicing results in multiple transcript variants, at least one of which encodes a preproprotein. [provided by RefSeq, Dec 2015],
关闭

在线咨询

Online consultation

  • 在线咨询
  • 技术支持

关注微信公众号

微信扫一扫立即咨询

微信扫一扫立即咨询

关闭