产品中心

MYH-pan rabbit pAb
一键复制产品信息
ES4157
规格: 价格:
50µL ¥1280.00
100µL ¥1980.00

Overview

Product name: MYH-pan rabbit pAb
Reactivity: Human;Mouse;Rat
Alternative Names: MYH1; Myosin-1; Myosin heavy chain 1; Myosin heavy chain 2x; MyHC-2x; Myosin heavy chain IIx/d; MyHC-IIx/d; Myosin heavy chain, skeletal muscle, adult 1; MYH2; MYHSA2; Myosin-2; Myosin heavy chain 2Myosin heavy chain 2; Myosin heavy chain 2a; MyHC-2a; Myosin heavy chain IIa; MyHC-IIa; Myosin heavy chain, skeletal muscle, adult 2; MYH3; Myosin-3; Muscle embryonic myosin heavy chain; Myosin heavy chain 3
Source: Rabbit
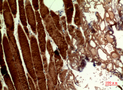
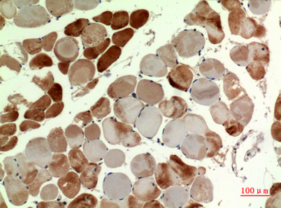
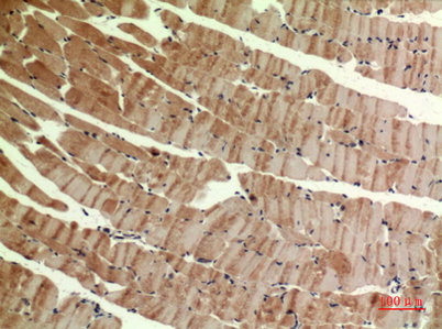
Dilutions: Western Blot: 1/500 - 1/2000. IHC-p: 1/100-1/300. ELISA: 1/20000. Not yet tested in other applications.
Immunogen: The antiserum was produced against synthesized peptide derived from human MYH-pan around the non-acetylation site of Lys1394. AA range:1351-1400
Storage: -20°C/1 year
Clonality: Polyclonal
Isotype: IgG
Concentration: 1 mg/ml
Observed Band: 225kD
GeneID: 4619/4620/4621/5795/4624/4625/4626
Human Swiss-Prot No: P12882/Q9UKX2/P11055/Q9Y623/P13533/P12883/P13535
Cellular localization: Cytoplasm, myofibril. Thick filaments of the myofibrils.
Background: Myosin is a major contractile protein which converts chemical energy into mechanical energy through the hydrolysis of ATP. Myosin is a hexameric protein composed of a pair of myosin heavy chains (MYH) and two pairs of nonidentical light chains. Myosin heavy chains are encoded by a multigene family. In mammals at least 10 different myosin heavy chain (MYH) isoforms have been described from striated, smooth, and nonmuscle cells. These isoforms show expression that is spatially and temporally regulated during development. [provided by RefSeq, Jul 2008],
关闭

在线咨询

Online consultation

  • 在线咨询
  • 技术支持

关注微信公众号

微信扫一扫立即咨询

微信扫一扫立即咨询

关闭