产品中心

IDH1 rabbit pAb
一键复制产品信息
ES4146
规格: 价格:
50µL ¥1280.00
100µL ¥1980.00

Overview

Product name: IDH1 rabbit pAb
Reactivity: Human;Mouse;Rat
Alternative Names: IDH1; PICD; Isocitrate dehydrogenase [NADP] cytoplasmic; IDH; Cytosolic NADP-isocitrate dehydrogenase; IDP; NADP(+)-specific ICDH; Oxalosuccinate decarboxylase
Source: Rabbit
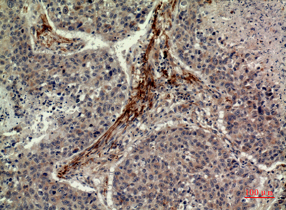
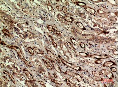
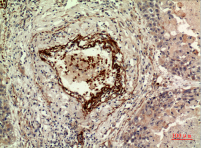
Dilutions: Western Blot: 1/500 - 1/2000. IHC-p: 1/100-1/300. ELISA: 1/20000. Not yet tested in other applications.
Immunogen: Synthesized peptide derived from the N-terminal region of human IDH1.
Storage: -20°C/1 year
Clonality: Polyclonal
Isotype: IgG
Concentration: 1 mg/ml
Observed Band: 46kD
GeneID: 3417
Human Swiss-Prot No: O75874
Cellular localization: Cytoplasm, cytosol . Peroxisome .
Background: Isocitrate dehydrogenases catalyze the oxidative decarboxylation of isocitrate to 2-oxoglutarate. These enzymes belong to two distinct subclasses, one of which utilizes NAD(+) as the electron acceptor and the other NADP(+). Five isocitrate dehydrogenases have been reported: three NAD(+)-dependent isocitrate dehydrogenases, which localize to the mitochondrial matrix, and two NADP(+)-dependent isocitrate dehydrogenases, one of which is mitochondrial and the other predominantly cytosolic. Each NADP(+)-dependent isozyme is a homodimer. The protein encoded by this gene is the NADP(+)-dependent isocitrate dehydrogenase found in the cytoplasm and peroxisomes. It contains the PTS-1 peroxisomal targeting signal sequence. The presence of this enzyme in peroxisomes suggests roles in the regeneration of NADPH for intraperoxisomal reductions, such as the conversion of 2, 4-dienoyl-CoAs to
关闭

在线咨询

Online consultation

  • 在线咨询
  • 技术支持

关注微信公众号

微信扫一扫立即咨询

微信扫一扫立即咨询

关闭