产品中心

TPO rabbit pAb
一键复制产品信息
ES4143
规格: 价格:
50µL ¥1280.00
100µL ¥1980.00

Overview

Product name: TPO rabbit pAb
Reactivity: Human;Rat;Mouse;
Alternative Names: THPO; MGDF; Thrombopoietin; C-mpl ligand; ML; Megakaryocyte colony-stimulating factor; Megakaryocyte growth and development factor; MGDF; Myeloproliferative leukemia virus oncogene ligand
Source: Rabbit
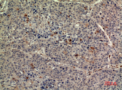
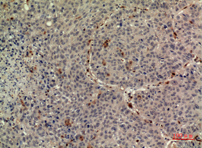
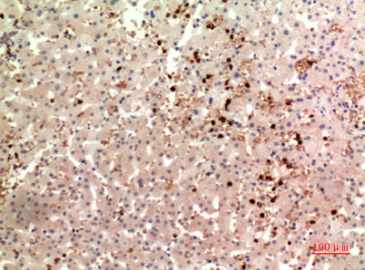
Dilutions: Western Blot: 1/500 - 1/2000. IHC-p: 1/100-1/300. ELISA: 1/20000. Not yet tested in other applications.
Immunogen: The antiserum was produced against synthesized peptide derived from the Internal region of human THPO. AA range:41-90
Storage: -20°C/1 year
Clonality: Polyclonal
Isotype: IgG
Concentration: 1 mg/ml
Observed Band: 38kD
GeneID: 7066
Human Swiss-Prot No: P40225
Cellular localization: Secreted.
Background: Megakaryocytopoiesis is the cellular development process that leads to platelet production. The main functional protein encoded by this gene is a humoral growth factor that is necessary for megakaryocyte proliferation and maturation, as well as for thrombopoiesis. This protein is the ligand for MLP/C_MPL, the product of myeloproliferative leukemia virus oncogene. Mutations in this gene are the cause of thrombocythemia 1. Alternative promoter usage and differential splicing result in multiple transcript variants differing in the 5' UTR and/or coding region. Multiple AUG codons upstream of the main open reading frame (ORF) have been identified, and these upstream AUGs inhibit translation of the main ORF at different extent. [provided by RefSeq, Feb 2014],
关闭

在线咨询

Online consultation

  • 在线咨询
  • 技术支持

关注微信公众号

微信扫一扫立即咨询

微信扫一扫立即咨询

关闭