产品中心

CD163b rabbit pAb
一键复制产品信息
ES4136
规格: 价格:
50µL ¥1280.00
100µL ¥1980.00

Overview

Product name: CD163b rabbit pAb
Reactivity: Human;Rat;Mouse;
Alternative Names: CD163L1; CD163B; M160; Scavenger receptor cysteine-rich type 1 protein M160; CD163 antigen-like 1; CD163b
Source: Rabbit
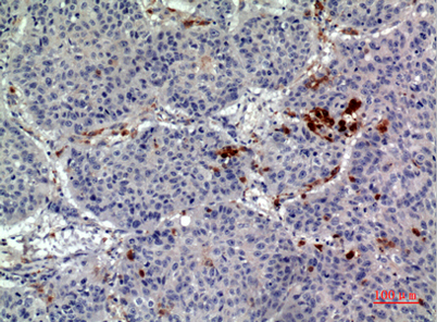
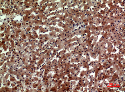
Dilutions: Western Blot: 1/500 - 1/2000. IHC-p: 1/100-1/300. ELISA: 1/20000. Not yet tested in other applications.
Immunogen: The antiserum was produced against synthesized peptide derived from the Internal region of human CD163L1. AA range:391-440
Storage: -20°C/1 year
Clonality: Polyclonal
Isotype: IgG
Concentration: 1 mg/ml
Observed Band: 160kD
GeneID: 283316
Human Swiss-Prot No: Q9NR16
Cellular localization: [Isoform 1]: Cell membrane ; Single-pass type I membrane protein .; [Isoform 2]: Cell membrane ; Single-pass type I membrane protein .; [Isoform 3]: Secreted .
Background: This gene encodes a member of the scavenger receptor cysteine-rich (SRCR) superfamily. Members of this family are secreted or membrane-anchored proteins mainly found in cells associated with the immune system. The SRCR family is defined by a 100-110 amino acid SRCR domain, which may mediate protein-protein interaction and ligand binding. The encoded protein contains twelve SRCR domains, a transmembrane region and a cytoplasmic domain. Alternative splicing results in multiple transcript variants encoding different isoforms. [provided by RefSeq, Jul 2014],
关闭

在线咨询

Online consultation

  • 在线咨询
  • 技术支持

关注微信公众号

微信扫一扫立即咨询

微信扫一扫立即咨询

关闭