产品中心

CD294 rabbit pAb
一键复制产品信息
ES4135
规格: 价格:
50µL ¥1280.00
100µL ¥1980.00

Overview

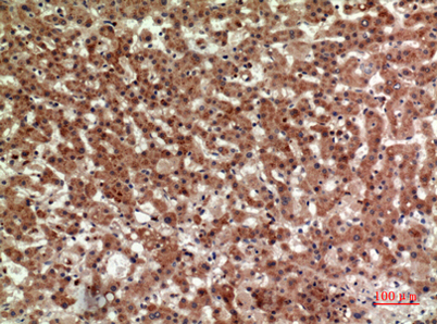
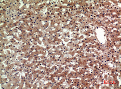
Product name: CD294 rabbit pAb
Reactivity: Human;Mouse
Alternative Names: PTGDR2; CRTH2; DL1R; GPR44; Prostaglandin D2 receptor 2; Chemoattractant receptor-homologous molecule expressed on Th2 cells; G-protein coupled receptor 44; CD294
Source: Rabbit
Dilutions: Western Blot: 1/500 - 1/2000. IHC-p: 1/100-1/300. ELISA: 1/20000. Not yet tested in other applications.
Immunogen: The antiserum was produced against synthesized peptide derived from the Internal region of human PTGDR2. AA range:161-210
Storage: -20°C/1 year
Clonality: Polyclonal
Isotype: IgG
Concentration: 1 mg/ml
Observed Band: 43kD
GeneID: 11251
Human Swiss-Prot No: Q9Y5Y4
Cellular localization: Cell membrane ; Multi-pass membrane protein . Internalized receptors colocalized with RAB11A. .
Background: This gene encodes a G-protein-coupled receptor that is preferentially expressed in CD4+ effector T helper 2 (Th2) cells. This protein is a prostaglandin D2 receptor that mediates the pro-inflammatory chemotaxis of eosinophils, basophils, and Th2 lymphocytes generated during allergic inflammation. Single nucleotide polymorphisms in the 3' UTR of this gene have been associated with asthma susceptibility.[provided by RefSeq, Mar 2011],
关闭

在线咨询

Online consultation

  • 在线咨询
  • 技术支持

关注微信公众号

微信扫一扫立即咨询

微信扫一扫立即咨询

关闭