产品中心

RANKL rabbit pAb
一键复制产品信息
ES4134
规格: 价格:
50µL ¥1280.00
100µL ¥1980.00

Overview

Product name: RANKL rabbit pAb
Reactivity: Human;Mouse;Rat
Alternative Names: TNFSF11; OPGL; RANKL; TRANCE; Tumor necrosis factor ligand superfamily member 11; Osteoclast differentiation factor; ODF; Osteoprotegerin ligand; OPGLReceptor activator of nuclear factor kappa-B ligand; RANKL; TNF-related activation-induced cytokine; TRANCE; CD254
Source: Rabbit
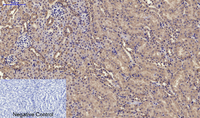
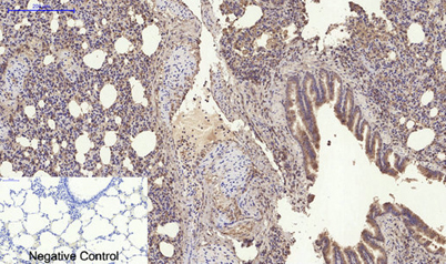
Dilutions: Western Blot: 1/500 - 1/2000. IHC-p: 1:100-300 ELISA: 1/20000. IF 1:100-300 Not yet tested in other applications.
Immunogen: The antiserum was produced against synthesized peptide derived from the C-terminal region of human TNFSF11. AA range:268-317
Storage: -20°C/1 year
Clonality: Polyclonal
Isotype: IgG
Concentration: 1 mg/ml
Observed Band: 35kD
GeneID: 8600
Human Swiss-Prot No: O14788
Cellular localization: [Isoform 1]: Cell membrane; Single-pass type II membrane protein.; [Isoform 3]: Cell membrane; Single-pass type II membrane protein.; [Isoform 2]: Cytoplasm .; [Tumor necrosis factor ligand superfamily member 11, soluble form]: Secreted .
Background: This gene encodes a member of the tumor necrosis factor (TNF) cytokine family which is a ligand for osteoprotegerin and functions as a key factor for osteoclast differentiation and activation. This protein was shown to be a dentritic cell survival factor and is involved in the regulation of T cell-dependent immune response. T cell activation was reported to induce expression of this gene and lead to an increase of osteoclastogenesis and bone loss. This protein was shown to activate antiapoptotic kinase AKT/PKB through a signaling complex involving SRC kinase and tumor necrosis factor receptor-associated factor (TRAF) 6, which indicated this protein may have a role in the regulation of cell apoptosis. Targeted disruption of the related gene in mice led to severe osteopetrosis and a lack of osteoclasts. The deficient mice exhibited defects in early differentiation of T and B ly
关闭

在线咨询

Online consultation

  • 在线咨询
  • 技术支持

关注微信公众号

微信扫一扫立即咨询

微信扫一扫立即咨询

关闭