产品中心

Jagged1 rabbit pAb
一键复制产品信息
ES4131
规格: 价格:
50µL ¥1280.00
100µL ¥1980.00

Overview

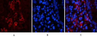
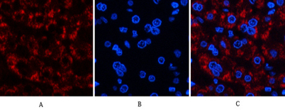
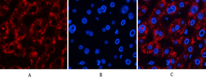
Product name: Jagged1 rabbit pAb
Reactivity: Human;Mouse;Rat
Alternative Names: JAG1; JAGL1; Protein jagged-1; Jagged1; hJ1; CD339
Source: Rabbit
Dilutions: IF: 1:50-200 Western Blot: 1/500 - 1/2000. IHC-p: 1/100-1/300. ELISA: 1/20000. Not yet tested in other applications.
Immunogen: The antiserum was produced against synthesized peptide derived from the Internal region of human JAG1. AA range:981-1030
Storage: -20°C/1 year
Clonality: Polyclonal
Isotype: IgG
Concentration: 1 mg/ml
Observed Band: 140kD
GeneID: 182
Human Swiss-Prot No: P78504
Cellular localization: Membrane; Single-pass type I membrane protein.
Background: The jagged 1 protein encoded by JAG1 is the human homolog of the Drosophilia jagged protein. Human jagged 1 is the ligand for the receptor notch 1, the latter a human homolog of the Drosophilia jagged receptor notch. Mutations that alter the jagged 1 protein cause Alagille syndrome. Jagged 1 signalling through notch 1 has also been shown to play a role in hematopoiesis. [provided by RefSeq, Jul 2008],
关闭

在线咨询

Online consultation

  • 在线咨询
  • 技术支持

关注微信公众号

微信扫一扫立即咨询

微信扫一扫立即咨询

关闭