产品中心

Bonzo rabbit pAb
一键复制产品信息
ES4128
规格: 价格:
50µL ¥1280.00
100µL ¥1980.00

Overview

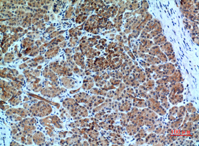
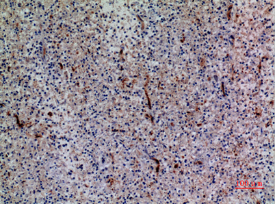
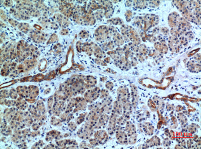
Product name: Bonzo rabbit pAb
Reactivity: Human;Rat;Mouse;
Alternative Names: CXCR6; BONZO; STRL33; TYMSTR; C-X-C chemokine receptor type 6; CXC-R6; CXCR-6; CDw186; G-protein coupled receptor STRL33; G-protein coupled receptor bonzo; CD186
Source: Rabbit
Dilutions: Western Blot: 1/500 - 1/2000. IHC-p: 1/100-1/300. ELISA: 1/20000. Not yet tested in other applications.
Immunogen: The antiserum was produced against synthesized peptide derived from the N-terminal region of human CXCR6. AA range:1-50
Storage: -20°C/1 year
Clonality: Polyclonal
Isotype: IgG
Concentration: 1 mg/ml
Observed Band: 39kD
GeneID: 10663
Human Swiss-Prot No: O00574
Cellular localization: Cell membrane; Multi-pass membrane protein.
Background: function:Receptor for the C-X-C chemokine CXCL16. Used as a coreceptor by SIVs and by strains of HIV-2 and m-tropic HIV-1.,online information:CXC chemokine receptors entry,similarity:Belongs to the G-protein coupled receptor 1 family.,tissue specificity:Expressed in lymphoid tissues and activated T cells.,
关闭

在线咨询

Online consultation

  • 在线咨询
  • 技术支持

关注微信公众号

微信扫一扫立即咨询

微信扫一扫立即咨询

关闭