产品中心

CD42b rabbit pAb
一键复制产品信息
ES4123
规格: 价格:
50µL ¥1280.00
100µL ¥1980.00

Overview

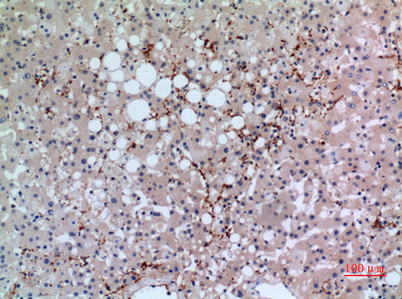
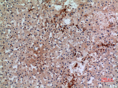
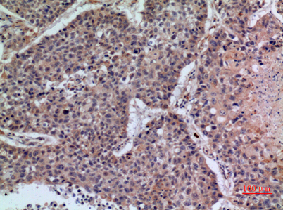
Product name: CD42b rabbit pAb
Reactivity: Human;Rat;Mouse;
Alternative Names: GP1BA; Platelet glycoprotein Ib alpha chain; GP-Ib alpha; GPIb-alpha; GPIbA; Glycoprotein Ibalpha; Antigen CD42b-alpha; CD42b
Source: Rabbit
Dilutions: Western Blot: 1/500 - 1/2000. IHC-p: 1/100-1/300. ELISA: 1/20000. Not yet tested in other applications.
Immunogen: The antiserum was produced against synthesized peptide derived from the Internal region of human GP1BA. AA range:271-320
Storage: -20°C/1 year
Clonality: Polyclonal
Isotype: IgG
Concentration: 1 mg/ml
Observed Band: 69kD
GeneID: 2811
Human Swiss-Prot No: P07359
Cellular localization: Membrane; Single-pass type I membrane protein.
Background: Glycoprotein Ib (GP Ib) is a platelet surface membrane glycoprotein composed of a heterodimer, an alpha chain and a beta chain, that is linked by disulfide bonds. The Gp Ib functions as a receptor for von Willebrand factor (VWF). The complete receptor complex includes noncovalent association of the alpha and beta subunits with platelet glycoprotein IX and platelet glycoprotein V. The binding of the GP Ib-IX-V complex to VWF facilitates initial platelet adhesion to vascular subendothelium after vascular injury, and also initiates signaling events within the platelet that lead to enhanced platelet activation, thrombosis, and hemostasis. This gene encodes the alpha subunit. Mutations in this gene result in Bernard-Soulier syndromes and platelet-type von Willebrand disease. The coding region of this gene is known to contain a polymophic variable number tandem repeat (VNTR) domain that is
关闭

在线咨询

Online consultation

  • 在线咨询
  • 技术支持

关注微信公众号

微信扫一扫立即咨询

微信扫一扫立即咨询

关闭