产品中心

CD38 rabbit pAb
一键复制产品信息
ES4122
规格: 价格:
50µL ¥1280.00
100µL ¥1980.00

Overview

Product name: CD38 rabbit pAb
Reactivity: Human;Rat;Mouse;
Alternative Names: CD38; ADP-ribosyl cyclase 1; Cyclic ADP-ribose hydrolase 1; cADPr hydrolase 1; T10; CD38
Source: Rabbit
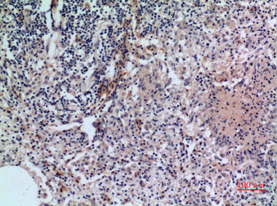
Dilutions: Western Blot: 1/500 - 1/2000. IHC-p: 1/100-1/300. ELISA: 1/20000. Not yet tested in other applications.
Immunogen: The antiserum was produced against synthesized peptide derived from the Internal region of human CD38. AA range:211-260
Storage: -20°C/1 year
Clonality: Polyclonal
Isotype: IgG
Concentration: 1 mg/ml
Observed Band: 35kD
GeneID: 952
Human Swiss-Prot No: P28907
Cellular localization: Membrane; Single-pass type II membrane protein.
Background: The protein encoded by this gene is a non-lineage-restricted, type II transmembrane glycoprotein that synthesizes and hydrolyzes cyclic adenosine 5'-diphosphate-ribose, an intracellular calcium ion mobilizing messenger. The release of soluble protein and the ability of membrane-bound protein to become internalized indicate both extracellular and intracellular functions for the protein. This protein has an N-terminal cytoplasmic tail, a single membrane-spanning domain, and a C-terminal extracellular region with four N-glycosylation sites. Crystal structure analysis demonstrates that the functional molecule is a dimer, with the central portion containing the catalytic site. It is used as a prognostic marker for patients with chronic lymphocytic leukemia. Alternative splicing results in multiple transcript variants. [provided by RefSeq, Sep 2015],
关闭

在线咨询

Online consultation

  • 在线咨询
  • 技术支持

关注微信公众号

微信扫一扫立即咨询

微信扫一扫立即咨询

关闭