产品中心

AACT rabbit pAb
一键复制产品信息
ES4121
规格: 价格:
50µL ¥1280.00
100µL ¥1980.00

Overview

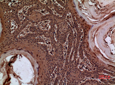
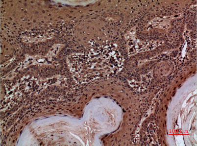
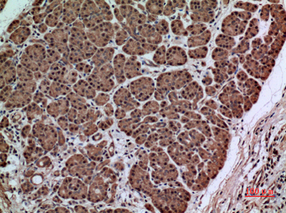
Product name: AACT rabbit pAb
Reactivity: Human;Rat;Mouse;
Alternative Names: SERPINA3; AACT; GIG24; GIG25; Alpha-1-antichymotrypsin; ACT; Cell growth-inhibiting gene 24/25 protein; Serpin A3
Source: Rabbit
Dilutions: Western Blot: 1/500 - 1/2000. IHC-p: 1/100-1/300. ELISA: 1/20000. Not yet tested in other applications.
Immunogen: The antiserum was produced against synthesized peptide derived from the Internal region of human SERPINA3. AA range:251-300
Storage: -20°C/1 year
Clonality: Polyclonal
Isotype: IgG
Concentration: 1 mg/ml
Observed Band: 46kD
GeneID: 12
Human Swiss-Prot No: P01011
Cellular localization: Secreted.
Background: The protein encoded by this gene is a plasma protease inhibitor and member of the serine protease inhibitor class. Polymorphisms in this protein appear to be tissue specific and influence protease targeting. Variations in this protein's sequence have been implicated in Alzheimer's disease, and deficiency of this protein has been associated with liver disease. Mutations have been identified in patients with Parkinson disease and chronic obstructive pulmonary disease. [provided by RefSeq, Jul 2008],
关闭

在线咨询

Online consultation

  • 在线咨询
  • 技术支持

关注微信公众号

微信扫一扫立即咨询

微信扫一扫立即咨询

关闭