产品中心

CacyBP rabbit pAb
一键复制产品信息
ES4119
规格: 价格:
50µL ¥1280.00
100µL ¥1980.00

Overview

Product name: CacyBP rabbit pAb
Reactivity: Human;Mouse;Rat
Alternative Names: CACYBP; S100A6BP; SIP; PNAS-107; Calcyclin-binding protein; CacyBP; hCacyBP; S100A6-binding protein; Siah-interacting protein
Source: Rabbit
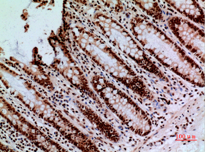
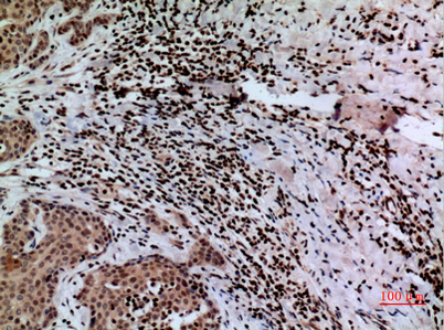
Dilutions: Western Blot: 1/500 - 1/2000. IHC-p: 1/100-1/300. ELISA: 1/20000. Not yet tested in other applications.
Immunogen: The antiserum was produced against synthesized peptide derived from the C-terminal region of human CACYBP. AA range:171-220
Storage: -20°C/1 year
Clonality: Polyclonal
Isotype: IgG
Concentration: 1 mg/ml
Observed Band: 25kD
GeneID: 27101
Human Swiss-Prot No: Q9HB71
Cellular localization: Nucleus . Cytoplasm . Cytoplasmic at low calcium concentrations. In neuroblastoma cells, after a retinoic acid (RA) induction and calcium increase, it localizes in both the nucleus and cytoplasm. The nuclear fraction may be phosphorylated.
Background: The protein encoded by this gene is a calcyclin binding protein. It may be involved in calcium-dependent ubiquitination and subsequent proteosomal degradation of target proteins. It probably serves as a molecular bridge in ubiquitin E3 complexes and participates in the ubiquitin-mediated degradation of beta-catenin. Two alternatively spliced transcript variants encoding different isoforms have been found for this gene. [provided by RefSeq, Jul 2008],
关闭

在线咨询

Online consultation

  • 在线咨询
  • 技术支持

关注微信公众号

微信扫一扫立即咨询

微信扫一扫立即咨询

关闭