产品中心

gp91-phox rabbit pAb
一键复制产品信息
ES4113
规格: 价格:
50µL ¥1280.00
100µL ¥1980.00

Overview

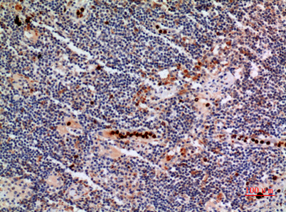
Product name: gp91-phox rabbit pAb
Reactivity: Human;Rat;Mouse;
Alternative Names: CYBB; NOX2; Cytochrome b-245 heavy chain; CGD91-phox; Cytochrome b(558) subunit beta; Cytochrome b558 subunit beta; Heme-binding membrane glycoprotein gp91phox; NADPH oxidase 2Neutrophil cytochrome b 91 kDa polypeptide; Superoxide-generating NADPH oxidase heavy chain subunit; gp91-1; gp91-phox; p22 phagocyte B-cytochrome
Source: Rabbit
Dilutions: Western Blot: 1/500 - 1/2000. IHC-p: 1/100-1/300. ELISA: 1/20000. Not yet tested in other applications.
Immunogen: The antiserum was produced against synthesized peptide derived from the Internal region of human CYBB. AA range:111-160
Storage: -20°C/1 year
Clonality: Polyclonal
Isotype: IgG
Concentration: 1 mg/ml
Observed Band: 70kD
GeneID: 1536
Human Swiss-Prot No: P04839
Cellular localization: Cell membrane; Multi-pass membrane protein. As unassembled monomer may localize to the endoplasmic reticulum. .
Background: Cytochrome b (-245) is composed of cytochrome b alpha (CYBA) and beta (CYBB) chain. It has been proposed as a primary component of the microbicidal oxidase system of phagocytes. CYBB deficiency is one of five described biochemical defects associated with chronic granulomatous disease (CGD). In this disorder, there is decreased activity of phagocyte NADPH oxidase; neutrophils are able to phagocytize bacteria but cannot kill them in the phagocytic vacuoles. The cause of the killing defect is an inability to increase the cell's respiration and consequent failure to deliver activated oxygen into the phagocytic vacuole. [provided by RefSeq, Jul 2008],
关闭

在线咨询

Online consultation

  • 在线咨询
  • 技术支持

关注微信公众号

微信扫一扫立即咨询

微信扫一扫立即咨询

关闭