产品中心

Cryopyrin rabbit pAb
一键复制产品信息
ES4112
规格: 价格:
50µL ¥1280.00
100µL ¥1980.00

Overview

Product name: Cryopyrin rabbit pAb
Reactivity: Human;Mouse;Rat
Alternative Names: NLRP3; C1orf7; CIAS1; NALP3; PYPAF1; NACHT, LRR and PYD domains-containing protein 3; Angiotensin/vasopressin receptor AII/AVP-like; Caterpiller protein 1.1CLR1.1; Cold autoinflammatory syndrome 1 protein; Cryopyrin; PYRIN-containing APAF1-like protein 1
Source: Rabbit
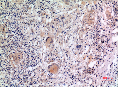
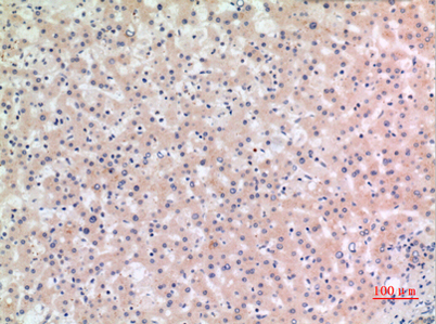
Dilutions: Western Blot: 1/500 - 1/2000. IHC-p: 1/100-1/300. ELISA: 1/20000. Not yet tested in other applications.
Immunogen: The antiserum was produced against synthesized peptide derived from the Internal region of human NLRP3. AA range:511-560
Storage: -20°C/1 year
Clonality: Polyclonal
Isotype: IgG
Concentration: 1 mg/ml
Observed Band: 115kD
GeneID: 114548
Human Swiss-Prot No: Q96P20
Cellular localization: Cytoplasm, cytosol . Inflammasome . Endoplasmic reticulum . Secreted . Nucleus . In macrophages, under resting conditions, mainly located in the cytosol, on the endoplasmic reticulum. After stimulation with inducers of the NLRP3 inflammasome, mitochondria redistribute in the vicinity of the endoplasmic reticulum in the perinuclear region, which results in colocalization of NLRP3 on the endoplasmic reticulum and PYCARD on mitochondria, allowing the activation of inflammasome assembly. After the induction of pyroptosis, inflammasome specks are released into the extracellular space where they can further promote IL1B processing and where they can be engulfed by macrophages. Phagocytosis induces lysosomal damage and inflammasome activation in the recipient cells (PubMed:24952504). In the Th2 s
Background: This gene encodes a pyrin-like protein containing a pyrin domain, a nucleotide-binding site (NBS) domain, and a leucine-rich repeat (LRR) motif. This protein interacts with the apoptosis-associated speck-like protein PYCARD/ASC, which contains a caspase recruitment domain, and is a member of the NALP3 inflammasome complex. This complex functions as an upstream activator of NF-kappaB signaling, and it plays a role in the regulation of inflammation, the immune response, and apoptosis. Mutations in this gene are associated with familial cold autoinflammatory syndrome (FCAS), Muckle-Wells syndrome (MWS), chronic infantile neurological cutaneous and articular (CINCA) syndrome, and neonatal-onset multisystem inflammatory disease (NOMID). Multiple alternatively spliced transcript variants encoding distinct isoforms have been identified for this gene. Alternative 5' UTR structures are s
关闭

在线咨询

Online consultation

  • 在线咨询
  • 技术支持

关注微信公众号

微信扫一扫立即咨询

微信扫一扫立即咨询

关闭