产品中心

Laminin γ-2 rabbit pAb
一键复制产品信息
ES4109
规格: 价格:
50µL ¥1280.00
100µL ¥1980.00

Overview

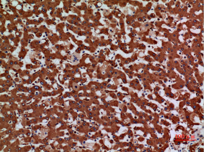
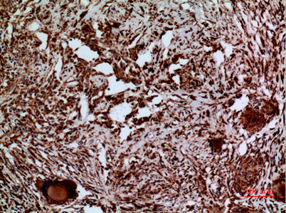
Product name: Laminin γ-2 rabbit pAb
Reactivity: Human;Rat
Alternative Names: LAMC2; LAMB2T; LAMNB2; Laminin subunit gamma-2; Cell-scattering factor 140 kDa subunit; CSF 140 kDa subunit; Epiligrin subunit gamma; Kalinin subunit gamma; Kalinin/nicein/epiligrin 100 kDa subunitLadsin 140 kDa subunit; Laminin B2t chain; Laminin-5 subunit gamma; Large adhesive scatter factor 140 kDa subunit; Nicein subunit gamma
Source: Rabbit
Dilutions: Western Blot: 1/500 - 1/2000. IHC-p: 1/100-1/300. ELISA: 1/20000. Not yet tested in other applications.
Immunogen: The antiserum was produced against synthesized peptide derived from the C-terminal region of human LAMC2. AA range:1021-1070
Storage: -20°C/1 year
Clonality: Polyclonal
Isotype: IgG
Concentration: 1 mg/ml
Observed Band: 135kD
GeneID: 3918
Human Swiss-Prot No: Q13753
Cellular localization: Secreted, extracellular space, extracellular matrix, basement membrane. Major component.
Background: Laminins, a family of extracellular matrix glycoproteins, are the major noncollagenous constituent of basement membranes. They have been implicated in a wide variety of biological processes including cell adhesion, differentiation, migration, signaling, neurite outgrowth and metastasis. Laminins, composed of 3 non identical chains: laminin alpha, beta and gamma (formerly A, B1, and B2, respectively), have a cruciform structure consisting of 3 short arms, each formed by a different chain, and a long arm composed of all 3 chains. Each laminin chain is a multidomain protein encoded by a distinct gene. Several isoforms of each chain have been described. Different alpha, beta and gamma chain isomers combine to give rise to different heterotrimeric laminin isoforms which are designated by Arabic numerals in the order of their discovery, i.e. alpha1beta1gamma1 heterotrimer is laminin 1. The biological func
关闭

在线咨询

Online consultation

  • 在线咨询
  • 技术支持

关注微信公众号

微信扫一扫立即咨询

微信扫一扫立即咨询

关闭