产品中心

CD71/TfR rabbit pAb
一键复制产品信息
ES4104
规格: 价格:
50µL ¥1280.00
100µL ¥1980.00

Overview

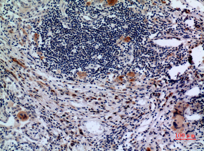
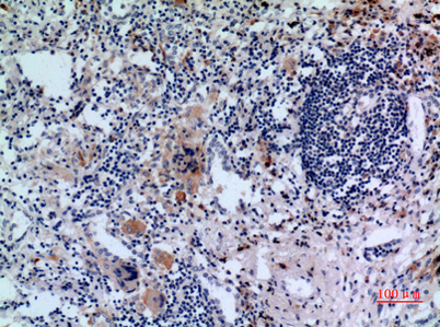
Product name: CD71/TfR rabbit pAb
Reactivity: Human;Rat;Mouse;
Alternative Names: TFRC; Transferrin receptor protein 1; TR; TfR; TfR1; Trfr; T9; p90; CD71
Source: Rabbit
Dilutions: Western Blot: 1/500 - 1/2000. IHC-p: 1/100-1/300. ELISA: 1/20000. Not yet tested in other applications.
Immunogen: The antiserum was produced against synthesized peptide derived from the N-terminal region of human TFRC. AA range:101-150
Storage: -20°C/1 year
Clonality: Polyclonal
Isotype: IgG
Concentration: 1 mg/ml
Observed Band: 85kD
GeneID: 7037
Human Swiss-Prot No: P02786
Cellular localization: Cell membrane ; Single-pass type II membrane protein . Melanosome . Identified by mass spectrometry in melanosome fractions from stage I to stage IV. .; [Transferrin receptor protein 1, serum form]: Secreted .
Background: This gene encodes a cell surface receptor necessary for cellular iron uptake by the process of receptor-mediated endocytosis. This receptor is required for erythropoiesis and neurologic development. Multiple alternatively spliced variants have been identified. [provided by RefSeq, Sep 2015],
关闭

在线咨询

Online consultation

  • 在线咨询
  • 技术支持

关注微信公众号

微信扫一扫立即咨询

微信扫一扫立即咨询

关闭