产品中心

Annexin VII rabbit pAb
一键复制产品信息
ES4103
规格: 价格:
50µL ¥1280.00
100µL ¥1980.00

Overview

Product name: Annexin VII rabbit pAb
Reactivity: Human;Mouse
Alternative Names: ANXA7; ANX7; SNX; OK/SW-cl.95; Annexin A7; Annexin VII; Annexin-7; Synexin
Source: Rabbit
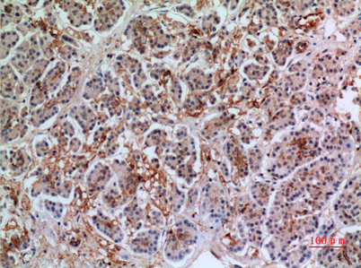
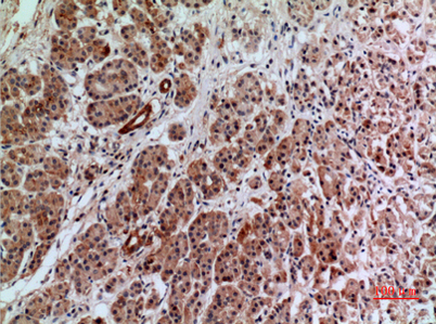
Dilutions: Western Blot: 1/500 - 1/2000. IHC-p: 1/100-1/300. ELISA: 1/20000. Not yet tested in other applications.
Immunogen: The antiserum was produced against synthesized peptide derived from the Internal region of human ANXA7. AA range:271-320
Storage: -20°C/1 year
Clonality: Polyclonal
Isotype: IgG
Concentration: 1 mg/ml
Observed Band: 53kD
GeneID: 310
Human Swiss-Prot No: P20073
Cellular localization: nucleus,nuclear envelope,endoplasmic reticulum membrane,cytosol,plasma membrane,membrane,chromaffin granule membrane,extracellular exosome,
Background: Annexin VII is a member of the annexin family of calcium-dependent phospholipid binding proteins.The Annexin VII gene contains 14 exons and spans approximately 34 kb of DNA. An alternatively spliced cassette exon results in two mRNA transcripts of 2.0 and 2.4 kb which are predicted to generate two protein isoforms differing in their N-terminal domain. The alternative splicing event is tissue specific and the mRNA containing the cassette exon is prevalent in brain, heart and skeletal muscle. The transcripts also differ in their 3'-non coding regions by the use of two alternative poly(A) signals. Annexin VII encodes a protein with a molecular weight of approximately 51 kDa with a unique, highly hydrophobic N-terminal domain of 167 amino acids and a conserved C-terminal region of 299 amino acids. The latter domain is composed of alternating hydrophobic and hydrophilic segments. Structural analysis of the
关闭

在线咨询

Online consultation

  • 在线咨询
  • 技术支持

关注微信公众号

微信扫一扫立即咨询

微信扫一扫立即咨询

关闭