产品中心

Macroglobulin α-2 rabbit pAb
一键复制产品信息
ES4098
规格: 价格:
50µL ¥1280.00
100µL ¥1980.00

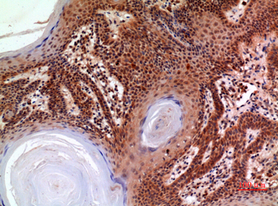
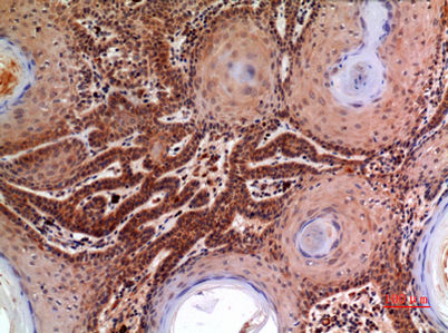
Overview

Product name: Macroglobulin α-2 rabbit pAb
Reactivity: Human;Rat;Mouse;
Alternative Names: A2M; CPAMD5; FWP007; Alpha-2-macroglobulin; Alpha-2-M; C3 and PZP-like alpha-2-macroglobulin domain-containing protein 5
Source: Rabbit
Dilutions: Western Blot: 1/500 - 1/2000. IHC-p: 1/100-1/300. ELISA: 1/20000. Not yet tested in other applications.
Immunogen: The antiserum was produced against synthesized peptide derived from the Internal region of human A2M. AA range:871-920
Storage: -20°C/1 year
Clonality: Polyclonal
Isotype: IgG
Concentration: 1 mg/ml
Observed Band: 170kD
GeneID: 2
Human Swiss-Prot No: P01023
Cellular localization: Secreted .
Background: Alpha-2-macroglobulin is a protease inhibitor and cytokine transporter. It inhibits many proteases, including trypsin, thrombin and collagenase. A2M is implicated in Alzheimer disease (AD) due to its ability to mediate the clearance and degradation of A-beta, the major component of beta-amyloid deposits. [provided by RefSeq, Jul 2008],
关闭

在线咨询

Online consultation

  • 在线咨询
  • 技术支持

关注微信公众号

微信扫一扫立即咨询

微信扫一扫立即咨询

关闭