产品中心

Fractalkine rabbit pAb
一键复制产品信息
ES4084
规格: 价格:
50µL ¥1280.00
100µL ¥1980.00

Overview

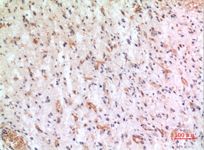
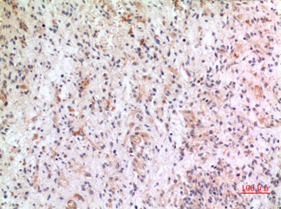
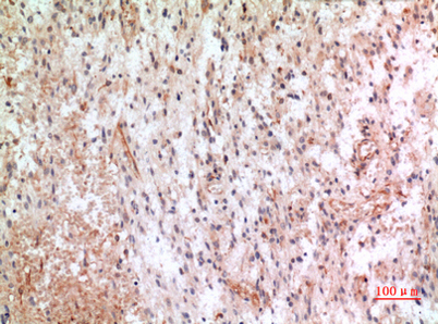
Product name: Fractalkine rabbit pAb
Reactivity: Human;Rat;Mouse;
Alternative Names: CX3CL1; FKN; NTT; SCYD1; A-152E5.2; Fractalkine; C-X3-C motif chemokine 1; CX3C membrane-anchored chemokine; Neurotactin; Small-inducible cytokine D1
Source: Rabbit
Dilutions: Western Blot: 1/500 - 1/2000. IHC-p: 1/100-1/300. ELISA: 1/20000. Not yet tested in other applications.
Immunogen: The antiserum was produced against synthesized peptide derived from the Internal region of human CX3CL1. AA range:231-280
Storage: -20°C/1 year
Clonality: Polyclonal
Isotype: IgG
Concentration: 1 mg/ml
Observed Band: 42kD
GeneID: 6376
Human Swiss-Prot No: P78423
Cellular localization: Cell membrane ; Single-pass type I membrane protein .; [Processed fractalkine]: Secreted .
Background: function:The soluble form is chemotactic for T-cells and monocytes, but not for neutrophils. The membrane-bound form promotes adhesion of those leukocytes to endothelial cells. May play a role in regulating leukocyte adhesion and migration processes at the endothelium. Binds to CX3CR1.,induction:By TNF and IL-1 in pulmonary endothelial cells and umbilical vein endothelial cells.,online information:CX3CL1 entry,PTM:A soluble short 95 kDa form may be released by proteolytic cleavage from the long membrane-anchored form.,similarity:Belongs to the intercrine delta family.,subunit:Monomer.,tissue specificity:Small intestine, colon, testis, prostate, heart, brain, lung, skeletal muscle, kidney and pancreas.,
关闭

在线咨询

Online consultation

  • 在线咨询
  • 技术支持

关注微信公众号

微信扫一扫立即咨询

微信扫一扫立即咨询

关闭