产品中心

HPA1 rabbit pAb
一键复制产品信息
ES4083
规格: 价格:
50µL ¥1280.00
100µL ¥1980.00

Overview

Product name: HPA1 rabbit pAb
Reactivity: Human;Rat;Mouse;
Alternative Names: HPSE; HEP; HPA; HPA1; HPR1; HPSE1; HSE1; Heparanase; Endo-glucoronidase; Heparanase-1; Hpa1
Source: Rabbit
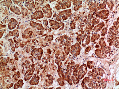
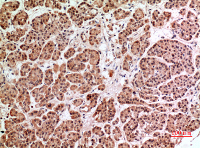
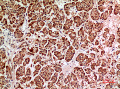
Dilutions: Western Blot: 1/500 - 1/2000. IHC-p: 1/100-1/300. ELISA: 1/20000. Not yet tested in other applications.
Immunogen: The antiserum was produced against synthesized peptide derived from the Internal region of human HPSE. AA range:241-290
Storage: -20°C/1 year
Clonality: Polyclonal
Isotype: IgG
Concentration: 1 mg/ml
Observed Band: 62kD
GeneID: 10855
Human Swiss-Prot No: Q9Y251
Cellular localization: Lysosome membrane; Peripheral membrane protein. Secreted. Nucleus. Proheparanase is secreted via vesicles of the Golgi. Interacts with cell membrane heparan sulfate proteoglycans (HSPGs). Endocytosed and accumulates in endosomes. Transferred to lysosomes where it is proteolytically cleaved to produce the active enzyme. Under certain stimuli, transferred to the cell surface. Associates with lipid rafts. Colocalizes with SDC1 in endosomal/lysosomal vesicles. Accumulates in perinuclear lysosomal vesicles. Heparin retains proheparanase in the extracellular medium (By similarity). .
Background: Heparan sulfate proteoglycans are major components of the basement membrane and extracellular matrix. The protein encoded by this gene is an enzyme that cleaves heparan sulfate proteoglycans to permit cell movement through remodeling of the extracellular matrix. In addition, this cleavage can release bioactive molecules from the extracellular matrix. Several transcript variants encoding different isoforms have been found for this gene. [provided by RefSeq, Sep 2011],
关闭

在线咨询

Online consultation

  • 在线咨询
  • 技术支持

关注微信公众号

微信扫一扫立即咨询

微信扫一扫立即咨询

关闭