产品中心

CD10 rabbit pAb
一键复制产品信息
ES4080
规格: 价格:
50µL ¥1280.00
100µL ¥1980.00

Overview

Product name: CD10 rabbit pAb
Reactivity: Human;Mouse;Rat
Alternative Names: MME; EPN; Neprilysin; Atriopeptidase; Common acute lymphocytic leukemia antigen; CALLA; Enkephalinase; Neutral endopeptidase 24.11; NEP; Neutral endopeptidase; Skin fibroblast elastase; SFE; CD10
Source: Rabbit
Dilutions: Western Blot: 1/500 - 1/2000. IHC-p: 1/100-1/300. ELISA: 1/20000. Not yet tested in other applications.
Immunogen: The antiserum was produced against synthesized peptide derived from the Internal region of human MME. AA range:491-540
Storage: -20°C/1 year
Clonality: Polyclonal
Isotype: IgG
Concentration: 1 mg/ml
Observed Band: 85kD
GeneID: 4311
Human Swiss-Prot No: P08473
Cellular localization: Cell membrane; Single-pass type II membrane protein.
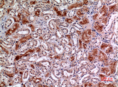
Background: This gene encodes a common acute lymphocytic leukemia antigen that is an important cell surface marker in the diagnosis of human acute lymphocytic leukemia (ALL). This protein is present on leukemic cells of pre-B phenotype, which represent 85% of cases of ALL. This protein is not restricted to leukemic cells, however, and is found on a variety of normal tissues. It is a glycoprotein that is particularly abundant in kidney, where it is present on the brush border of proximal tubules and on glomerular epithelium. The protein is a neutral endopeptidase that cleaves peptides at the amino side of hydrophobic residues and inactivates several peptide hormones including glucagon, enkephalins, substance P, neurotensin, oxytocin, and bradykinin. This gene, which encodes a 100-kD type II transmembrane glycoprotein, exists in a single copy of greater than 45 kb. The 5' untranslated region of this
关闭

在线咨询

Online consultation

  • 在线咨询
  • 技术支持

关注微信公众号

微信扫一扫立即咨询

微信扫一扫立即咨询

关闭