产品中心

Tubulin α rabbit pAb
一键复制产品信息
ES4075
规格: 价格:
50µL ¥1280.00
100µL ¥1980.00

Overview

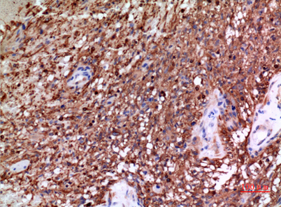
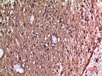
Product name: Tubulin α rabbit pAb
Reactivity: Human;Mouse;Rat
Alternative Names: TUBA1A; TUBA3; Tubulin alpha-1A chain; Alpha-tubulin 3; Tubulin B-alpha-1; Tubulin alpha-3 chain; TUBA1B; Tubulin alpha-1B chain; Alpha-tubulin ubiquitous; Tubulin K-alpha-1; Tubulin alpha-ubiquitous chain; TUBA1C; TUBA6;Tubulin alpha-1C chain; Alpha-tubulin 6; Tubulin alpha-6 chain; TUBA3C; TUBA2; TUBA3D; Tubulin alpha-3C/D chain; Alpha-tubulin 2; Alpha-tubulin 3C/D; Tubulin alpha-2 chain; TUBA4A; TUBA1; Tubulin alpha-4A chain; Alpha-tubulin 1;
Source: Rabbit
Dilutions: Western Blot: 1/500 - 1/2000. IHC-p: 1/100-1/300. ELISA: 1/20000. Not yet tested in other applications.
Immunogen: The antiserum was produced against synthesized peptide derived from human TUBA1A around the non-acetylation site of Lys40. AA range:1-50
Storage: -20°C/1 year
Clonality: Polyclonal
Isotype: IgG
Concentration: 1 mg/ml
Observed Band: 50kD
GeneID: 7846
Human Swiss-Prot No: Q71U36
Cellular localization: Cytoplasm, cytoskeleton.
Background: Microtubules of the eukaryotic cytoskeleton perform essential and diverse functions and are composed of a heterodimer of alpha and beta tubulins. The genes encoding these microtubule constituents belong to the tubulin superfamily, which is composed of six distinct families. Genes from the alpha, beta and gamma tubulin families are found in all eukaryotes. The alpha and beta tubulins represent the major components of microtubules, while gamma tubulin plays a critical role in the nucleation of microtubule assembly. There are multiple alpha and beta tubulin genes, which are highly conserved among species. This gene encodes alpha tubulin and is highly similar to the mouse and rat Tuba1 genes. Northern blotting studies have shown that the gene expression is predominantly found in morphologically differentiated neurologic cells. This gene is one of three alpha-tubulin genes in a cluster on chromosome 12q.
关闭

在线咨询

Online consultation

  • 在线咨询
  • 技术支持

关注微信公众号

微信扫一扫立即咨询

微信扫一扫立即咨询

关闭