产品中心

p73 rabbit pAb
一键复制产品信息
ES4073
规格: 价格:
50µL ¥1280.00
100µL ¥1980.00

Overview

Product name: p73 rabbit pAb
Reactivity: Human;Rat;Mouse;
Alternative Names: TP73; P73; Tumor protein p73; p53-like transcription factor; p53-related protein
Source: Rabbit
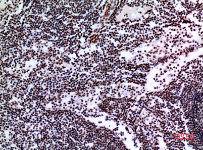
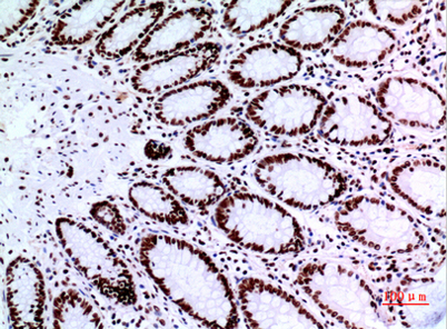
Dilutions: Western Blot: 1/500 - 1/2000. IHC-p: 1/100-1/300. ELISA: 1/20000. Not yet tested in other applications.
Immunogen: The antiserum was produced against synthesized peptide derived from human p73 around the non-acetylation site of Lys321. AA range:281-330
Storage: -20°C/1 year
Clonality: Polyclonal
Isotype: IgG
Concentration: 1 mg/ml
Observed Band: 70kD
GeneID: 7161
Human Swiss-Prot No: O15350
Cellular localization: Nucleus . Cytoplasm. Accumulates in the nucleus in response to DNA damage.
Background: tumor protein p73(TP73) Homo sapiens This gene encodes a member of the p53 family of transcription factors involved in cellular responses to stress and development. It maps to a region on chromosome 1p36 that is frequently deleted in neuroblastoma and other tumors, and thought to contain multiple tumor suppressor genes. The demonstration that this gene is monoallelically expressed (likely from the maternal allele), supports the notion that it is a candidate gene for neuroblastoma. Many transcript variants resulting from alternative splicing and/or use of alternate promoters have been found for this gene, but the biological validity and the full-length nature of some variants have not been determined. [provided by RefSeq, Feb 2011],
关闭

在线咨询

Online consultation

  • 在线咨询
  • 技术支持

关注微信公众号

微信扫一扫立即咨询

微信扫一扫立即咨询

关闭